You have no items in your shopping cart.
MTHFR Antibody
Description
Research Area
Images & Validation
−| Tested Applications | ELISA, IF, IHC, WB |
|---|---|
| Dilution Range | WB:1:500-2000, IHC-P:1:20-200, IF:1:50-200 |
| Reactivity | Human |
Key Properties
−| Host | Rabbit |
|---|---|
| Clonality | Polyclonal |
| Isotype | IgG |
| Immunogen | Recombinant Human Methylenetetrahydrofolate reductase protein (1-656AA) |
| Target | MTHFR |
| Purification | >95%, Protein G purified |
| Conjugation | Unconjugated |
Storage & Handling
−| Storage | Maintain refrigerated at 2-8°C for up to 2 weeks. For long term storage store at -20°C in small aliquots to prevent freeze-thaw cycles. |
|---|---|
| Form/Appearance | Liquid |
| Buffer/Preservatives | Preservative: 0.03% Proclin 300. Constituents: 50% Glycerol |
| Expiration Date | 12 months from date of receipt. |
| Disclaimer | For research use only |
Alternative Names
−Similar Products
−Human Methylenetetrahydrofolate Reductase (MTHFR) ELISA Kit [orb778038]
Human
62.5-4000 pg/mL
22.9 pg/mL
96 T, 48 TMTHFR rabbit pAb Antibody [orb765738]
ELISA, IHC, WB
Human, Monkey, Mouse
Polyclonal
Unconjugated
100 μl, 50 μl

Quality Guarantee
Explore bioreagents carefree to elevate your research. All our products are rigorously tested for performance. If a product does not perform as described on its datasheet, our scientific support team will provide expert troubleshooting, a prompt replacement, or a refund. For full details, please see our Terms & Conditions and Buying Guide. Contact us at support@biorbyt.com.

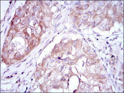
Immunohistochemistry of paraffin-embedded human prostate cancer tissue using MTHFR antibody

Western blot aanalysis of 293T whole cell lysateusing MTHFR antibody

Immunofluorescent analysis of Hela cells using MTHFR antibody
Quick Database Links
UniProt Details
−Documents Download
Request a Document
Protocol Information
MTHFR Antibody (orb350610)
Participating in our Biorbyt product reviews program enables you to support fellow scientists by sharing your firsthand experience with our products.
Login to Submit a Review









