You have no items in your shopping cart.
Major Vault Protein Antibody
Description
Images & Validation
−| Tested Applications | IHC-P |
|---|---|
| Dilution range | Immunohistochemistry (FFPE): 1-2ug/ml for 30 min at RT |
| Reactivity | Human |
| Application Notes |
Key Properties
−| Antibody Type | Primary Antibody |
|---|---|
| Host | Mouse |
| Clonality | Monoclonal |
| Isotype | Mouse IgG1, kappa |
| Clone No. | 1032 |
| Immunogen | Proteins precipitated from human breast cancer MCF-7 cells were used as the immunogen for the Major Vault Protein antibody. |
| Purification | Protein G affinity chromatography |
| Conjugation | Unconjugated |
Storage & Handling
−| Storage | Maintain refrigerated at 2-8°C for up to 2 weeks. For long term storage store at -20°C in small aliquots to prevent freeze-thaw cycles. |
|---|---|
| Disclaimer | For research use only |
Similar Products
−MVP Antibody (monoclonal, 8B12) [orb610911]
FC, ICC, IF, IHC, WB
Human, Mouse, Rat
Mouse
Monoclonal
Unconjugated
100 μgMVP Antibody [orb413009]
ELISA, FC, ICC, IF, IHC, IHC-Fr, WB
Human, Mouse, Rat
Rabbit
Polyclonal
Unconjugated
100 μgPoliovirus Receptor/PVR Antibody (monoclonal, 5I13D1) [orb1145772]
FC, IHC, WB
Human, Mouse
Mouse
Monoclonal
Unconjugated
100 μgPoliovirus Receptor/PVR Antibody (monoclonal, 9B9F1) [orb1145773]
IHC, WB
Human, Mouse
Mouse
Monoclonal
Unconjugated
100 μg

Quality Guarantee
Explore bioreagents carefree to elevate your research. All our products are rigorously tested for performance. If a product does not perform as described on its datasheet, our scientific support team will provide expert troubleshooting, a prompt replacement, or a refund. For full details, please see our Terms & Conditions and Buying Guide. Contact us at support@biorbyt.com.

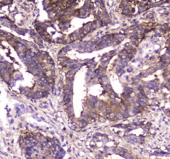
IHC analysis of formalin-fixed, paraffin-embedded human testicular carcinoma stained with Major Vault Protein antibody (clone 1032).

IHC analysis of formalin-fixed, paraffin-embedded human breast carcinoma stained with Major Vault Protein antibody (clone 1032).
Quick Database Links
UniProt Details
−Documents Download
Request a Document
Major Vault Protein Antibody (orb749930)
Participating in our Biorbyt product reviews program enables you to support fellow scientists by sharing your firsthand experience with our products.
Login to Submit a Review







































