You have no items in your shopping cart.
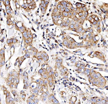
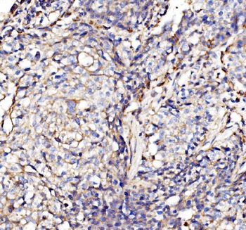
Myc Antibody
Description
Research Area
Images & Validation
−
| Tested Applications | ELISA, WB |
|---|---|
| Reactivity | All |
Key Properties
−| Host | Rabbit |
|---|---|
| Clonality | Polyclonal |
| Isotype | IgG |
| Immunogen | Myc synthetic peptide conjugated to KLH. |
| Target | Myc |
| Purification | The antibody was affinity-purified from rabbit antiserum by affinity-chromatography using epitope-specific immunogen. |
| Conjugation | Unconjugated |
Storage & Handling
−| Storage | Maintain refrigerated at 2-8°C for up to 2 weeks. For long term storage store at -20°C in small aliquots to prevent freeze-thaw cycles. |
|---|---|
| Form/Appearance | Liquid |
| Buffer/Preservatives | Liquid in PBS containing 50% glycerol, 0.5% rAlbumin and 0.05% sodium azide. |
| Disclaimer | For research use only |
Alternative Names
−Similar Products
−ENO1 Antibody [orb688875]
ELISA, FC, IF, IHC, IP, WB
Human, Mouse, Rabbit, Rat
Mouse
Monoclonal
Unconjugated
50 μl, 100 μlLSM5 Antibody [orb670312]
ELISA, FC, ICC, IF, IHC, WB
Human, Mouse, Rat
Rabbit
Polyclonal
Unconjugated
100 μgHP1 alpha/CBX5 Antibody (monoclonal, 8G6) [orb738489]
FC, ICC, IF, IHC, WB
Human, Mouse, Rat
Mouse
Monoclonal
Unconjugated
100 μgNDUFAF1 Antibody [orb865438]
ELISA, ICC, IF, IHC, WB
Human, Mouse, Rat
Rabbit
Polyclonal
Unconjugated
100 μg

Quality Guarantee
Explore bioreagents carefree to elevate your research. All our products are rigorously tested for performance. If a product does not perform as described on its datasheet, our scientific support team will provide expert troubleshooting, a prompt replacement, or a refund. For full details, please see our Terms & Conditions and Buying Guide. Contact us at support@biorbyt.com.
Quick Database Links
Documents Download
Request a Document
Protocol Information
Myc Antibody (orb1517357)
Participating in our Biorbyt product reviews program enables you to support fellow scientists by sharing your firsthand experience with our products.
Login to Submit a Review


























































