You have no items in your shopping cart.
MYH6 Recombinant Rabbit Monoclonal Antibody
Description
Research Area
Images & Validation
−| Tested Applications | IF, IHC-Fr, IHC-P, WB |
|---|---|
| Dilution Range | WB=1:500-2000, IHC-P=1:100-500, IHC-F=1:100-500, IF=1:100-500 |
| Reactivity | Human, Mouse, Rat |
| Predicted Reactivity | Mouse, Rat |
Key Properties
−| Antibody Type | Primary Antibody |
|---|---|
| Host | Rabbit |
| Clonality | Recombinant |
| Isotype | IgG |
| Clone No. | 8C1 |
| Immunogen | A synthesized peptide derived from human Myosin heavy chain 6 (1100-1400/1935aa) |
| Target | MYH6 |
| Molecular Weight | 224 kDa |
| Purification | Affinity purified by Protein A |
| Conjugation | Unconjugated |
Storage & Handling
−| Storage | Maintain refrigerated at 2-8°C for up to 2 weeks. For long term storage store at -20°C in small aliquots to prevent freeze-thaw cycles. |
|---|---|
| Form/Appearance | Liquid |
| Buffer/Preservatives | 1*TBS (pH7.4), 0.05% rAlbumin, 40% Glycerol. Preservative: 0.02% Proclin300. |
| Concentration | 1mg/ml |
| Expiration Date | 12 months from date of receipt. |
| Disclaimer | For research use only |
Alternative Names
−
Quality Guarantee
Explore bioreagents carefree to elevate your research. All our products are rigorously tested for performance. If a product does not perform as described on its datasheet, our scientific support team will provide expert troubleshooting, a prompt replacement, or a refund. For full details, please see our Terms & Conditions and Buying Guide. Contact us at support@biorbyt.com.

25 ug total protein per lane of various lysates probed with MYH6 monoclonal antibody, unconjugated (orb1610346) at 1:1000 dilution and 4°C overnight incubation. Followed by conjugated secondary antibody incubation at r.t. for 60 min.

Paraformaldehyde-fixed, paraffin embedded Human Heart, Antigen retrieval by boiling in sodium citrate buffer (pH6.0) for 15 min, Antibody incubation with MYH6 Monoclonal Antibody, Unconjugated (orb1610346) at 1:200 overnight at 4°C, followed by conjugation to the SP Kit (Rabbit) and DAB staining.

Paraformaldehyde-fixed, paraffin embedded Human Skeletal muscle, Antigen retrieval by boiling in sodium citrate buffer (pH6.0) for 15 min, Antibody incubation with MYH6 Monoclonal Antibody, Unconjugated (orb1610346) at 1:200 overnight at 4°C, followed by conjugation to the SP Kit (Rabbit) and DAB staining.

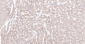
Paraformaldehyde-fixed, paraffin embedded Mouse Heart, Antigen retrieval by boiling in sodium citrate buffer (pH6.0) for 15 min, Antibody incubation with MYH6 Monoclonal Antibody, Unconjugated (orb1610346) at 1:200 overnight at 4°C, followed by conjugation to the SP Kit (Rabbit) and DAB staining.

Paraformaldehyde-fixed, paraffin embedded Rat Heart, Antigen retrieval by boiling in sodium citrate buffer (pH6.0) for 15 min, Antibody incubation with MYH6 Monoclonal Antibody, Unconjugated (orb1610346) at 1:200 overnight at 4°C, followed by conjugation to the SP Kit (Rabbit) and DAB staining.
Quick Database Links
UniProt Details
−Documents Download
Request a Document
Protocol Information
MYH6 Recombinant Rabbit Monoclonal Antibody (orb1610346)
Participating in our Biorbyt product reviews program enables you to support fellow scientists by sharing your firsthand experience with our products.
Login to Submit a Review