You have no items in your shopping cart.
N Cadherin Recombinant Rabbit Monoclonal Antibody
Description
Research Area
Images & Validation
−| Tested Applications | IF, IHC-Fr, IHC-P, WB |
|---|---|
| Dilution Range | WB=1:500-2000, IHC-P=1:50-200, IHC-F=1:50-200, IF=1:50-200 |
| Reactivity | Human, Mouse, Rat |
| Predicted Reactivity | Mouse, Rat |
Key Properties
−| Antibody Type | Primary Antibody |
|---|---|
| Host | Rabbit |
| Clonality | Recombinant |
| Isotype | IgG |
| Clone No. | 5G1 |
| Immunogen | A synthesized peptide derived from human Cadherin 2 (160-200aa) |
| Target | CDH2 |
| Molecular Weight | 100 kDa |
| Purification | Affinity purified by Protein A |
| Conjugation | Unconjugated |
Storage & Handling
−| Storage | Maintain refrigerated at 2-8°C for up to 2 weeks. For long term storage store at -20°C in small aliquots to prevent freeze-thaw cycles. |
|---|---|
| Form/Appearance | Liquid |
| Buffer/Preservatives | 0.01M TBS (pH7.4) with 1% rAlbumin, 0.02% Proclin300 and 50% Glycerol. |
| Concentration | 1mg/ml |
| Expiration Date | 12 months from date of receipt. |
| Disclaimer | For research use only |
Alternative Names
−Similar Products
−N Cadherin Recombinant Rabbit Monoclonal Antibody pair (detector) [orb2563241]
ELISA
Mouse
Mouse
Rabbit
Recombinant
Unconjugated
100 μgN Cadherin Recombinant Rabbit Monoclonal Antibody pair (capture) [orb2563242]
ELISA
Mouse
Mouse
Rabbit
Recombinant
Unconjugated
100 μgRabbit N-Cadherin Recombinant Monoclonal Antibody [orb1519754]
FC, ICC, IP, WB
Human, Mouse
Rabbit
Recombinant
Unconjugated
100 μl, 10 μlRabbit N-Cadherin Recombinant Monoclonal Antibody [orb1519753]
FC, ICC, IP, WB
Human, Mouse
Rabbit
Recombinant
Unconjugated
100 μg (BSA-free)CD325 Rabbit Monoclonal Antibody [orb2989712]
IF, IHC, WB
Human, Mouse
Rabbit
Monoclonal
Unconjugated
200 μl, 100 μl, 50 μl, 30 μl

Quality Guarantee
Explore bioreagents carefree to elevate your research. All our products are rigorously tested for performance. If a product does not perform as described on its datasheet, our scientific support team will provide expert troubleshooting, a prompt replacement, or a refund. For full details, please see our Terms & Conditions and Buying Guide. Contact us at support@biorbyt.com.

Blocking buffer: 5% NFDM/TBST, Primary ab Dilution: 1:2000, Primary ab incubation condition: 2 hours at room temperature, Lysate: HeLa, Mouse brain, Rat brain, Protein loading quantity: 20 µg, Exposure time: 10 s, Predicted MW: 100 kDa, Observed MW: 125 kDa.

Sample: Lane 1: Mouse Heart tissue lysates, Lane 2: Mouse Testis tissue lysates, Lane 3: Rat Cerebrum tissue lysates, Lane 4: Human PANC-1 cell lysates, Lane 5: Human A549 cell lysates, Primary: Anti-N Cadherin (orb1499395) at 1/1000 dilution, Secondary: IRDye800CW Goat Anti-Rabbit IgG at 1/20000 dilution, Predicted band size: 100 kDa, Observed band size: 140 kDa.

Tissue: Human endometrium, Section type: Formalin fixed & Paraffin embedded section, Retrieval method: High temperature and high pressure, Retrieval buffer: Tris/EDTA buffer, pH9.0 Primary ab Dilution: 1:1000, Primary ab incubation condition: 1 hour at room temperature, Counter stain: Hematoxylin, Comment: Color brown is the positive signal for orb1499395.

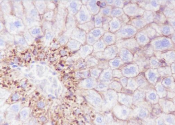
Tissue: Human liver, Section type: Formalin fixed & Paraffin embedded section, Retrieval method: High temperature and high pressure, Retrieval buffer: Tris/EDTA buffer, pH9.0 Primary ab Dilution: 1:1000, Primary ab incubation condition: 1 hour at room temperature, Counter stain: Hematoxylin, Comment: Color brown is the positive signal for orb1499395.

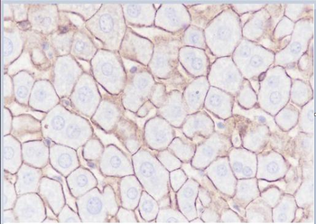
Tissue: Mouse liver, Section type: Formalin fixed & Paraffin embedded section, Retrieval method: High temperature and high pressure, Retrieval buffer: Tris/EDTA buffer, pH9.0 Primary ab Dilution: 1:1000, Primary ab incubation condition: 1 hour at room temperature, Counter stain: Hematoxylin, Comment: Color brown is the positive signal for orb1499395.

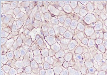
Tissue: Rat liver, Section type: Formalin fixed & Paraffin embedded section, Retrieval method: High temperature and high pressure, Retrieval buffer: Tris/EDTA buffer, pH9.0 Primary ab Dilution: 1:1000, Primary ab incubation condition: 1 hour at room temperature, Counter stain: Hematoxylin, Comment: Color brown is the positive signal for orb1499395.
Quick Database Links
UniProt Details
−Documents Download
Request a Document
Protocol Information
N Cadherin Recombinant Rabbit Monoclonal Antibody (orb1499395)
Participating in our Biorbyt product reviews program enables you to support fellow scientists by sharing your firsthand experience with our products.
Login to Submit a Review