You have no items in your shopping cart.
NASP Antibody
Description
Research Area
Images & Validation
−| Tested Applications | IF, IHC, WB |
|---|---|
| Reactivity | Human, Mouse, Rat |
| Application Notes |
Key Properties
−| Antibody Type | Primary Antibody |
|---|---|
| Host | Rabbit |
| Clonality | Polyclonal |
| Isotype | IgG |
| Immunogen | Recombinant fusion protein containing a sequence corresponding to amino acids 180-449 of human NASP (NP_689511.2). |
| Target | NASP |
| Molecular Weight | Observed: 85kDa |
| Purification | Affinity purification |
| Conjugation | Unconjugated |
Storage & Handling
−| Storage | Maintain refrigerated at 2-8°C for up to 2 weeks. For long term storage store at -20°C in small aliquots to prevent freeze-thaw cycles. |
|---|---|
| Form/Appearance | Liquid |
| Buffer/Preservatives | PBS with 0.02% sodium azide, 50% glycerol, pH 7.3. |
| Concentration | batch dependent |
| Expiration Date | 12 months from date of receipt. |
| Disclaimer | For research use only |
Alternative Names
−Similar Products
−NASP Rabbit Polyclonal Antibody [orb221616]
IF, IHC-Fr, IHC-P
Bovine, Equine, Mouse, Rabbit, Sheep
Human, Rat
Rabbit
Polyclonal
Unconjugated
50 μl, 100 μl, 200 μlNASP Rabbit Polyclonal Antibody [orb583692]
IHC, WB
Bovine, Canine, Equine, Guinea pig, Mouse, Porcine, Rabbit, Rat, Zebrafish
Human
Rabbit
Polyclonal
Unconjugated
100 μlNASP Rabbit Polyclonal Antibody [orb629149]
ELISA, IHC, WB
Human, Mouse, Rat
Rabbit
Polyclonal
Unconjugated
50 μg, 100 μg

Quality Guarantee
Explore bioreagents carefree to elevate your research. All our products are rigorously tested for performance. If a product does not perform as described on its datasheet, our scientific support team will provide expert troubleshooting, a prompt replacement, or a refund. For full details, please see our Terms & Conditions and Buying Guide. Contact us at support@biorbyt.com.

Western blot analysis of extracts of various cell lines, using NASP antibody (orb1256714) at 1:1000 dilution. Secondary antibody: HRP Goat Anti-Rabbit IgG (H+L) at 1:10000 dilution. Lysates/proteins: 25 ug per lane. Blocking buffer: 3% nonfat dry milk in TBST. Detection: ECL Basic Kit. Exposure time: 90s.

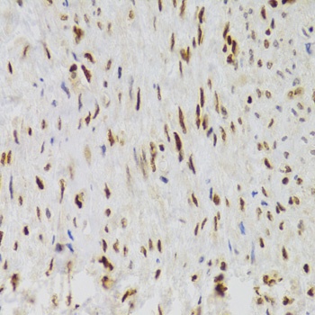
Immunohistochemistry of paraffin-embedded rat spleen using NASP Antibody (orb1256714) at dilution of 1:100 (40x lens).

Immunohistochemistry of paraffin-embedded rat stomach using NASP Antibody (orb1256714) at dilution of 1:100 (40x lens).

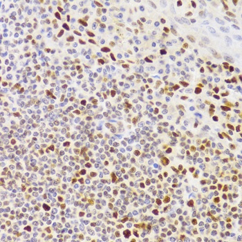
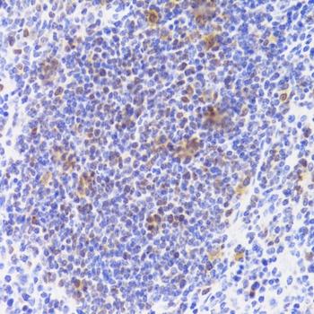
Immunohistochemistry of paraffin-embedded human tonsil using NASP Antibody (orb1256714) at dilution of 1:100 (40x lens).

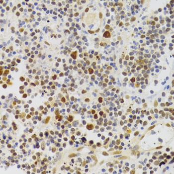
Immunohistochemistry of paraffin-embedded human appendicitis using NASP Antibody (orb1256714) at dilution of 1:100 (40x lens).

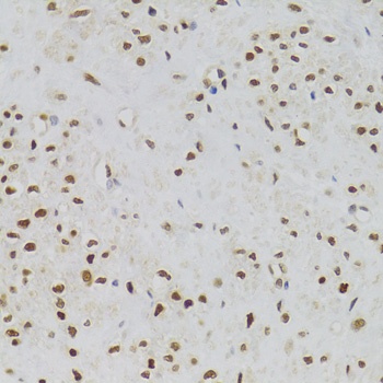
Immunohistochemistry of paraffin-embedded human brain astrocytoma using NASP Antibody (orb1256714) at dilution of 1:100 (40x lens).

Immunohistochemistry of paraffin-embedded human breast using NASP Antibody (orb1256714) at dilution of 1:100 (40x lens).

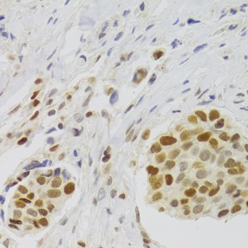
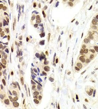
Immunohistochemistry of paraffin-embedded human breast cancer using NASP Antibody (orb1256714) at dilution of 1:100 (40x lens).

Immunohistochemistry of paraffin-embedded human stomach using NASP Antibody (orb1256714) at dilution of 1:100 (40x lens).

Immunofluorescence analysis of HeLa cells using TOM20 antibody (orb1256783) at dilution of 1:100 (40x lens). Blue: DAPI for nuclear staining.

Immunohistochemistry of paraffin-embedded human leiomyoma of uterus using NASP Antibody (orb1256714) at dilution of 1:100 (40x lens).

Immunohistochemistry of paraffin-embedded human adenomyosis using NASP Antibody (orb1256714) at dilution of 1:100 (40x lens).

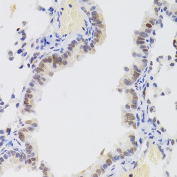
Immunohistochemistry of paraffin-embedded mouse lung using NASP Antibody (orb1256714) at dilution of 1:100 (40x lens).

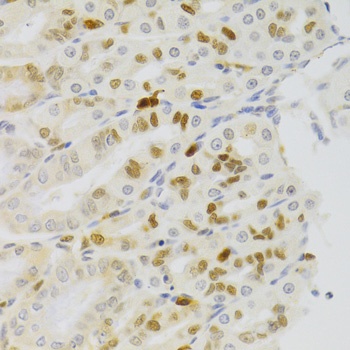
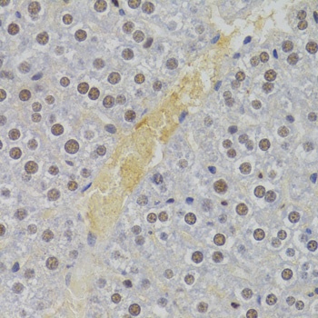
Immunohistochemistry of paraffin-embedded mouse liver using NASP Antibody (orb1256714) at dilution of 1:100 (40x lens).

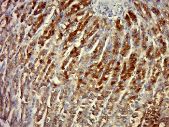
Immunohistochemistry of paraffin-embedded mouse spleen using NASP Antibody (orb1256714) at dilution of 1:100 (40x lens).
Quick Database Links
UniProt Details
−Documents Download
Request a Document
Protocol Information
NASP Antibody (orb1256714)
Participating in our Biorbyt product reviews program enables you to support fellow scientists by sharing your firsthand experience with our products.
Login to Submit a Review










