You have no items in your shopping cart.
Natriuretic Peptide Receptor A Rabbit Polyclonal Antibody
Description
Images & Validation
−| Tested Applications | IF, IHC-Fr, IHC-P |
|---|---|
| Dilution Range | IHC-P=1:100-500, IHC-F=1:100-500, IF=1:100-500 |
| Reactivity | Human, Mouse |
| Predicted Reactivity | Rat |
Related Conjugates & Formulations
−Key Properties
−| Antibody Type | Primary Antibody |
|---|---|
| Host | Rabbit |
| Clonality | Polyclonal |
| Isotype | IgG |
| Immunogen | KLH conjugated synthetic peptide derived from human Natriuretic Peptide Receptor A (261-360/1061aa) |
| Target | NPR1 |
| Molecular Weight | 113 kDa |
| Purification | Affinity purified by Protein A |
| Conjugation | Unconjugated |
Storage & Handling
−| Storage | Maintain refrigerated at 2-8°C for up to 2 weeks. For long term storage store at -20°C in small aliquots to prevent freeze-thaw cycles. |
|---|---|
| Form/Appearance | Liquid |
| Buffer/Preservatives | 0.01M TBS (pH7.4) with 1% rAlbumin, 0.02% Proclin300 and 50% Glycerol. |
| Concentration | 1mg/ml |
| Expiration Date | 12 months from date of receipt. |
| Disclaimer | For research use only |
Alternative Names
−Similar Products
−Natriuretic Peptide Receptor A/GC-A/NPR1 Picoband®/GC Rabbit Polyclonal Antibody [orb623878]
ELISA, ICC, IF, WB
Human
Rabbit
Polyclonal
Unconjugated
100 μgNatriuretic Peptide Receptor A Rabbit Polyclonal Antibody [orb185642]
WB
Bovine, Canine, Equine, Mouse, Porcine, Rat
Human
Rabbit
Polyclonal
Unconjugated
50 μl, 100 μl, 200 μlNatriuretic Peptide Receptor A Rabbit Polyclonal Antibody (HRP) [orb471581]
WB
Bovine, Canine, Equine, Mouse, Porcine, Rat
Human
Rabbit
Polyclonal
HRP
100 μl

Quality Guarantee
Explore bioreagents carefree to elevate your research. All our products are rigorously tested for performance. If a product does not perform as described on its datasheet, our scientific support team will provide expert troubleshooting, a prompt replacement, or a refund. For full details, please see our Terms & Conditions and Buying Guide. Contact us at support@biorbyt.com.

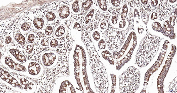
Paraformaldehyde-fixed, paraffin embedded Human Duodenum, Antigen retrieval by boiling in sodium citrate buffer (pH6.0) for 15 min, Antibody incubation with Natriuretic Peptide Receptor A Polyclonal Antibody, Unconjugated (orb101546) at 1:200 overnight at 4°C, followed by conjugation to the SP Kit (Rabbit) and DAB staining.

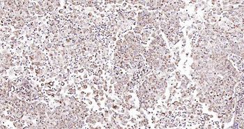
Paraformaldehyde-fixed, paraffin embedded Human Gastric Cancer, Antigen retrieval by boiling in sodium citrate buffer (pH6.0) for 15 min, Antibody incubation with Natriuretic Peptide Receptor A Polyclonal Antibody, Unconjugated (orb101546) at 1:200 overnight at 4°C, followed by conjugation to the SP Kit (Rabbit) and DAB staining.
Quick Database Links
UniProt Details
−Documents Download
Request a Document
Protocol Information
Natriuretic Peptide Receptor A Rabbit Polyclonal Antibody (orb101546)
Participating in our Biorbyt product reviews program enables you to support fellow scientists by sharing your firsthand experience with our products.
Login to Submit a Review


