You have no items in your shopping cart.
NDUFA9 Antibody (Center)
Description
Research Area
Images & Validation
−| Tested Applications | WB |
|---|---|
| Dilution Range | WB - 1:1000 |
| Reactivity | Human, Mouse, Rat |
Key Properties
−| Host | Rabbit |
|---|---|
| Clonality | Polyclonal |
| Isotype | Rabbit IgG |
| Molecular Weight | 42510 Da |
| Conjugation | Unconjugated |
Storage & Handling
−| Storage | Maintain refrigerated at 2-8°C for up to 2 weeks. For long term storage store at -20°C in small aliquots to prevent freeze-thaw cycles |
|---|---|
| Form/Appearance | Purified polyclonal antibody supplied in PBS with 0.09% (W/V) sodium azide. This antibody is purified through a protein A column, followed by peptide affinity purification. |
| Expiration Date | 12 months from date of receipt. |
| Disclaimer | For research use only |
Alternative Names
−Similar Products
−NDUFA9 Rabbit Polyclonal Antibody [orb214296]
IHC, WB
Human, Mouse, Rat
Rabbit
Polyclonal
Unconjugated
30 μl, 100 μl, 200 μl, 50 μl

Quality Guarantee
Explore bioreagents carefree to elevate your research. All our products are rigorously tested for performance. If a product does not perform as described on its datasheet, our scientific support team will provide expert troubleshooting, a prompt replacement, or a refund. For full details, please see our Terms & Conditions and Buying Guide. Contact us at support@biorbyt.com.

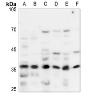
NDUFA9 Antibody (Center) western blot analysis in Hela, Jurkat cell line and mouse heart tissue lysates (35 ug/lane).This demonstrates the NDUFA9 antibody detected the NDUFA9 protein (arrow).
Quick Database Links
UniProt Details
−Documents Download
Request a Document
NDUFA9 Antibody (Center) (orb1927249)
Participating in our Biorbyt product reviews program enables you to support fellow scientists by sharing your firsthand experience with our products.
Login to Submit a Review
