You have no items in your shopping cart.
NECT4 antibody
Description
Images & Validation
−| Tested Applications | IHC-P, WB |
|---|---|
| Dilution Range | WB: 1:200-1500, IHC-P: 1: 100-600 |
| Reactivity | Human, Mouse, Rat |
Key Properties
−| Host | Rabbit |
|---|---|
| Clonality | Polyclonal |
| Isotype | IgG |
| Immunogen | KLH conjugated synthetic peptide derived from human NECT4. Please contact us for the exact immunogen sequence. |
| Target | NECT4 |
| Molecular Weight | 55 kDa |
| Purity | Polyclonal antibodies are purified by peptide affinity chromatography |
| Conjugation | Unconjugated |
Storage & Handling
−| Storage | Maintain refrigerated at 2-8°C for up to 2 weeks. For long term storage store at -20°C in small aliquots to prevent freeze-thaw cycles. |
|---|---|
| Form/Appearance | 10 mM PBS, 0.02% sodium azide |
| Concentration | - 100 μg (in 200 μl): 0.5 mg/ml- 200 μg (in 400 μl): 0.5 mg/ml |
| Expiration Date | 12 months from date of receipt. |
| Disclaimer | For research use only |

Quality Guarantee
Explore bioreagents carefree to elevate your research. All our products are rigorously tested for performance. If a product does not perform as described on its datasheet, our scientific support team will provide expert troubleshooting, a prompt replacement, or a refund. For full details, please see our Terms & Conditions and Buying Guide. Contact us at support@biorbyt.com.

Immunohistochemical staining of paraffin embedded mouse skin tissue using NECT4 antibody (2.5 ug/ml)

IHC-P image of mouse skin tissue using NECT4 antibody (2.5 ug/ml)

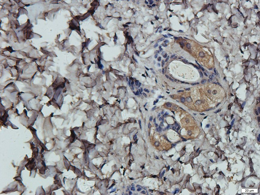
IHC-P image of human breast cancer tissue using anti-NECT4 (2.5 ug/ml)

Immunohistochemical staining of human breast cancer tissue using anti-NECT4 (2.5 ug/ml)

WB analysis of mouse pancreas (lane 1), rat skin (lane 2), human breast cancer (lane3), human liver cancer (lane4), human ovarian cancer (lane 5), eca109 (lane 6) tissue using NECT4 antibody (0.5 ug/ml)

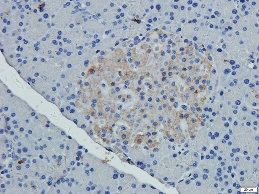
Immunohistochemical staining of rat pancreas tissue using anti-NECT4 (2.5 ug/ml)

Immunohistochemical staining of paraffin embedded rat pancreas tissue using NECT4 antibody (2.5 ug/ml)

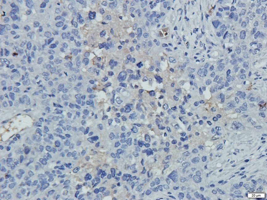
IHC-P image of human ovarian cancer tissue using NECT4 antibody (2.5 ug/ml)
Quick Database Links
UniProt Details
−Documents Download
Request a Document
Protocol Information
NECT4 antibody (orb507574)
Participating in our Biorbyt product reviews program enables you to support fellow scientists by sharing your firsthand experience with our products.
Login to Submit a Review