You have no items in your shopping cart.
Neu (phospho Tyr1221/Y1222) rabbit pAb Antibody
Description
Images & Validation
−| Tested Applications | ELISA, IF, IHC, WB |
|---|---|
| Dilution range | Western Blot: 1/500 - 1/2000. Immunohistochemistry: 1/100 - 1/300. Immunofluorescence: 1/200 - 1/1000. ELISA: 1/40000. Not yet tested in other applications. |
| Reactivity | Human, Monkey, Mouse, Rat |
Key Properties
−| Clonality | Polyclonal |
|---|---|
| Isotype | IgG |
| Immunogen | Synthesized phospho-peptide around the phosphorylation site of human Neu (phospho Tyr1221/Y1222) |
| Molecular Weight | 180 |
| Purification | The antibody was affinity-purified from rabbit antiserum by affinity-chromatography using epitope-specific immunogen. |
| Conjugation | Unconjugated |
Storage & Handling
−| Storage | Maintain refrigerated at 2-8°C for up to 2 weeks. For long term storage store at -20°C in small aliquots to prevent freeze-thaw cycles. |
|---|---|
| Buffer/Preservatives | PBS with 0.02% sodium azide and 50% glycerol pH 7.4. |
| Concentration | 1 mg/ml |
| Disclaimer | For research use only |
Alternative Names
−Similar Products
−Neu (phospho Tyr1221/Y1222) rabbit pAb Antibody [orb764238]
ELISA, IF, IHC, IP, WB
Human, Mouse, Rat
Polyclonal
Unconjugated
100 μl, 50 μl

Quality Guarantee
Explore bioreagents carefree to elevate your research. All our products are rigorously tested for performance. If a product does not perform as described on its datasheet, our scientific support team will provide expert troubleshooting, a prompt replacement, or a refund. For full details, please see our Terms & Conditions and Buying Guide. Contact us at support@biorbyt.com.

Western Blot analysis of various cells using Phospho-Neu (Y1221/Y1222) Polyclonal Antibody.

Enzyme-Linked Immunosorbent Assay (Phospho-ELISA) for Immunogen Phosphopeptide (Phospho-left) and Non-Phosphopeptide (Phospho-right), using HER2 (Phospho-Tyr1221 + Tyr1222) Antibody.

Immunofluorescence analysis of HuvEc cell, using HER2 (Phospho-Tyr1221 + Tyr1222) Antibody. The lane on the right is blocked with the HER2 (Phospho-Tyr1221 + Tyr1222) peptide.

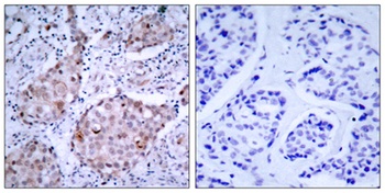
Immunohistochemistry analysis of paraffin-embedded human breast cancer, using HER2 (Phospho-Tyr1221 + Tyr1222) Antibody. The picture on the right is blocked with the HER2 (Phospho-Tyr1221 + Tyr1222) peptide.
Documents Download
Request a Document
Protocol Information
Neu (phospho Tyr1221/Y1222) rabbit pAb Antibody (orb764389)
Participating in our Biorbyt product reviews program enables you to support fellow scientists by sharing your firsthand experience with our products.
Login to Submit a Review

