You have no items in your shopping cart.
Description
Research Area
Images & Validation
−| Tested Applications | IF, IHC, WB |
|---|---|
| Reactivity | Human, Mouse, Rat |
| Application Notes |
Key Properties
−| Antibody Type | Primary Antibody |
|---|---|
| Host | Rabbit |
| Clonality | Polyclonal |
| Isotype | IgG |
| Immunogen | Recombinant fusion protein containing a sequence corresponding to amino acids 1-220 of human NeuN (NP_001076044.1). |
| Target | RBFOX3 |
| Molecular Weight | Observed: 50kDa |
| Purification | Affinity purification |
| Conjugation | Unconjugated |
Storage & Handling
−| Storage | Maintain refrigerated at 2-8°C for up to 2 weeks. For long term storage store at -20°C in small aliquots to prevent freeze-thaw cycles. |
|---|---|
| Form/Appearance | Liquid |
| Buffer/Preservatives | PBS with 0.02% sodium azide, 50% glycerol, pH 7.3. |
| Concentration | batch dependent |
| Expiration Date | 12 months from date of receipt. |
| Disclaimer | For research use only |
Alternative Names
−Similar Products
−NeuN Rabbit Polyclonal Antibody [orb500816]
IF, IHC-Fr, IHC-P, WB
Bovine, Canine, Equine, Human
Mouse, Rat
Rabbit
Polyclonal
Unconjugated
100 μl, 50 μl, 200 μlNeuN Rabbit Polyclonal Antibody [orb183495]
FC, ICC, IF, IHC-Fr, IHC-P
Bovine, Equine, Insect, Mouse, Sheep
Human, Rat
Rabbit
Polyclonal
Unconjugated
50 μl, 100 μl, 200 μlRBFOX3 Antibody [orb1410411]
IHC, WB
Human, Mouse
Rabbit
Monoclonal
Unconjugated
20 μg, 100 μg, 100 μg (without BSA and Azide)RBFOX3 Antibody [orb1410163]
IHC
Human
Rabbit
Monoclonal
Unconjugated
20 μg, 100 μg, 100 μg (without BSA and Azide)NeuN Recombinant Rabbit Monoclonal Antibody [orb704272]
IF, IHC-Fr, IHC-P, WB
Mouse, Rat
Human, Mouse, Rat
Rabbit
Recombinant
Unconjugated
25 μl, 50 μl, 100 μl

Quality Guarantee
Explore bioreagents carefree to elevate your research. All our products are rigorously tested for performance. If a product does not perform as described on its datasheet, our scientific support team will provide expert troubleshooting, a prompt replacement, or a refund. For full details, please see our Terms & Conditions and Buying Guide. Contact us at support@biorbyt.com.

Western blot analysis of extracts of various cell lines, using NeuN antibody at 1:1000 dilution.

Western blot analysis of extracts from normal (control) and NeuN knockout (KO) 293T cells, using NeuN antibody at 1:1000 dilution.

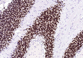
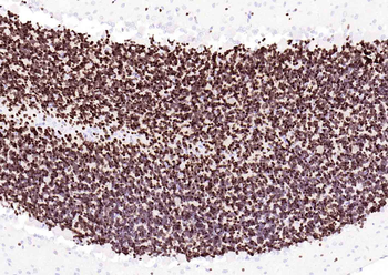
Immunohistochemistry of paraffin-embedded rat brain using NeuN antibody at dilution of 1:100 (40x lens).

Immunohistochemistry of paraffin-embedded mouse brain using NeuN antibody at dilution of 1:100 (40x lens).

Immunofluorescence analysis of HeLa cells using NeuN antibody at dilution of 1:100. Blue: DAPI for nuclear staining.

Immunofluorescence analysis of U-251MG cells using NeuN antibody at dilution of 1:100. Blue: DAPI for nuclear staining.
Quick Database Links
UniProt Details
−Documents Download
Request a Document
Protocol Information
RBFOX3 Antibody (orb1274564)
Participating in our Biorbyt product reviews program enables you to support fellow scientists by sharing your firsthand experience with our products.
Login to Submit a Review





















