You have no items in your shopping cart.
Description
Research Area
Images & Validation
−| Tested Applications | IF, IHC-Fr, IHC-P, WB |
|---|---|
| Dilution Range | WB=1:500-2000, IHC-P=1:100-500, IHC-F=1:100-500, IF=1:100-500 |
| Reactivity | Human, Mouse, Rat |
| Predicted Reactivity | Mouse, Rat |
Key Properties
−| Antibody Type | Primary Antibody |
|---|---|
| Host | Rabbit |
| Clonality | Recombinant |
| Isotype | IgG |
| Clone No. | 12C3 |
| Immunogen | KLH conjugated synthetic peptide derived from human NeuN |
| Target | RBFOX3 |
| Molecular Weight | 34 kDa |
| Purification | Affinity purified by Protein A |
| Conjugation | Unconjugated |
Storage & Handling
−| Storage | Maintain refrigerated at 2-8°C for up to 2 weeks. For long term storage store at -20°C in small aliquots to prevent freeze-thaw cycles. |
|---|---|
| Form/Appearance | Liquid |
| Buffer/Preservatives | 0.01M TBS (pH7.4) with 1% rAlbumin, 0.02% Proclin300 and 50% Glycerol. |
| Concentration | 1mg/ml |
| Expiration Date | 12 months from date of receipt. |
| Disclaimer | For research use only |
Alternative Names
−Similar Products
−Recombinant NeuN Antibody / Fox3 [orb1151476]
IHC-P, WB
Human
Rabbit
Recombinant
Unconjugated
100 μg, 20 μgNeuN Rabbit Monoclonal Antibody [orb2989535]
IF, IHC, WB
Human, Mouse, Rat
Rabbit
Monoclonal
Unconjugated
200 μl, 100 μl, 50 μl, 30 μl

Quality Guarantee
Explore bioreagents carefree to elevate your research. All our products are rigorously tested for performance. If a product does not perform as described on its datasheet, our scientific support team will provide expert troubleshooting, a prompt replacement, or a refund. For full details, please see our Terms & Conditions and Buying Guide. Contact us at support@biorbyt.com.

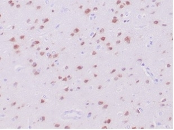
Paraformaldehyde-fixed, paraffin embedded (human cerebellum), Antigen retrieval by boiling in sodium citrate buffer (pH6.0) for 15 min, Block endogenous peroxidase by 3% hydrogen peroxide for 20 minutes, Blocking buffer (normal goat serum) at 37°C for 30 min, Incubation with (NeuN) Monoclonal Antibody, Unconjugated (orb704272) at 1:200 overnight at 4°C, followed by operating according to SP Kit (Rabbit) instructionsand DAB staining.

Paraformaldehyde-fixed, paraffin embedded (mouse cerebellum), Antigen retrieval by boiling in sodium citrate buffer (pH6.0) for 15 min, Block endogenous peroxidase by 3% hydrogen peroxide for 20 minutes, Blocking buffer (normal goat serum) at 37°C for 30 min, Incubation with (NeuN) Monoclonal Antibody, Unconjugated (orb704272) at 1:200 overnight at 4°C, followed by operating according to SP Kit (Rabbit) instructionsand DAB staining.

Paraformaldehyde-fixed, paraffin embedded (rat cerebellum), Antigen retrieval by boiling in sodium citrate buffer (pH6.0) for 15 min, Block endogenous peroxidase by 3% hydrogen peroxide for 20 minutes, Blocking buffer (normal goat serum) at 37°C for 30 min, Incubation with (NeuN) Monoclonal Antibody, Unconjugated (orb704272) at 1:200 overnight at 4°C, followed by operating according to SP Kit (Rabbit) instructionsand DAB staining.

Sample: Lane 1: Mouse Cerebrum tissue lysates, Lane 2: Mouse Cerebellum tissue lysates, Lane 3: Rat Cerebrum tissue lysates, Lane 4: Rat Cerebellum tissue lysates, Primary: Anti-NeuN (orb704272) at 1/1000 dilution, Secondary: IRDye800CW Goat Anti-Rabbit IgG at 1/20000 dilution, Predicted band size: 34 kDa, Observed band size: 45, 48 kDa.
Quick Database Links
UniProt Details
−Documents Download
Request a Document
Protocol Information
NeuN Recombinant Rabbit Monoclonal Antibody (orb704272)
Participating in our Biorbyt product reviews program enables you to support fellow scientists by sharing your firsthand experience with our products.
Login to Submit a Review



