You have no items in your shopping cart.
NG2 antibody
Description
Images & Validation
−| Tested Applications | ICC, IF, IHC-P, WB |
|---|---|
| Dilution range | IF/ICC: 1:50-500, IHC-P: 1:50-500, WB: 1:200-1000 |
| Reactivity | Human, Mouse, Porcine, Rat |
Key Properties
−| Host | Rabbit |
|---|---|
| Clonality | Polyclonal |
| Isotype | IgG |
| Immunogen | KLH conjugated synthetic peptide derived from human NG2. Please contact us for the exact immunogen sequence. The peptide is available as orb13014. |
| Target | NG2 |
| Molecular Weight | 251 kDa |
| Purity | Polyclonal antibodies are purified by peptide affinity chromatography |
| Conjugation | Unconjugated |
Storage & Handling
−| Storage | Maintain refrigerated at 2-8°C for up to 2 weeks. For long term storage store at -20°C in small aliquots to prevent freeze-thaw cycles. |
|---|---|
| Form/Appearance | 10 mM PBS, 0.02% sodium azide |
| Concentration | - 100 μg (in 200 μl): 0.5 mg/ml- 200 μg (in 400 μl): 0.5 mg/ml |
| Disclaimer | For research use only |
Similar Products
−Human Melanoma Associated Chondroitin Sulfate Proteoglycan (MCSP) ELISA Kit [orb776939]
Human
0.16-10 ng/mL
0.054 ng/mL
96 T, 48 TRat Melanoma Associated Chondroitin Sulfate Proteoglycan (MCSP) ELISA Kit [orb1146964]
Rat
0.16-10 ng/mL
0.058 ng/mL
48 T, 96 TNG2 Recombinant Rabbit Monoclonal Antibody [orb704325]
WB
Mouse, Rat
Human
Rabbit
Recombinant
Unconjugated
25 μl, 100 μl, 50 μlCSPG4 Antibody [orb1100534]
ELISA, IF, IHC, WB
Human, Mouse, Rat
Rabbit
Polyclonal
Unconjugated
100 μg, 50 μg

Quality Guarantee
Explore bioreagents carefree to elevate your research. All our products are rigorously tested for performance. If a product does not perform as described on its datasheet, our scientific support team will provide expert troubleshooting, a prompt replacement, or a refund. For full details, please see our Terms & Conditions and Buying Guide. Contact us at support@biorbyt.com.

Immunofluorescence analysis of pig uterus tissue using NG2 antibody (2.5 ug/ml)

IF image of pig uterus tissue using NG2 antibody (2.5 ug/ml)

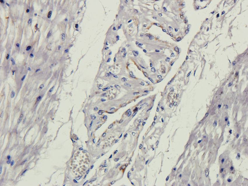
Immunohistochemical staining of human breast tumour tissue using anti-NG2 (2.5 ug/ml)

Immunohistochemical staining of pig uterus tissue using NG2 antibody (2.5 ug/ml)

Immunohistochemical staining of rat stomach tissue using NG2 antibody (2.5 ug/ml)

Immunohistochemical staining of pig uterus tissue using NG2 antibody (2.5 ug/ml)

IHC-P staining of rat stomach tissue using NG2 antibody (2.5 ug/ml)

IHC-P staining of pig uterus tissue using anti-NG2 (2.5 ug/ml)

IF analysis of rat stomach tissue using anti-NG2 (2.5 ug/ml)

WB analysis of mosue stomach (lane 1), mouse uterus (lane 2), mouse colon (lane 3), mouse liver (lane 4), human breast tumour (lane 5), Hela cells (lane 6) using NG2 antibody (1 ug/ml)

Immunofluorescence image of rat stomach tissue using NG2 antibody (2.5 ug/ml)

IHC-P image of human breast tumour tissue using anti-NG2 (2.5 ug/ml)

Western blot analysis of mosue stomach (lane 1), mouse uterus (lane 2), mouse colon (lane 3), mouse liver (lane 4), human breast tumour (lane 5), Hela cells (lane 6) using NG2 antibody (1 ug/ml)
Documents Download
Request a Document
Protocol Information
NG2 antibody (orb382135)
Participating in our Biorbyt product reviews program enables you to support fellow scientists by sharing your firsthand experience with our products.
Login to Submit a Review









