You have no items in your shopping cart.
NIS antibody
Description
Images & Validation
−| Tested Applications | ELISA, ICC, IF, IHC-P |
|---|---|
| Dilution range | IF/ICC: 1:100-500, IHC-P: 1:100-500 |
| Reactivity | Human, Mouse, Rat |
Key Properties
−| Host | Rabbit |
|---|---|
| Clonality | Polyclonal |
| Isotype | IgG |
| Immunogen | KLH conjugated synthetic peptide derived from human NIS. Please contact us for the exact immunogen sequence. The peptide is available as orb374882. |
| Target | NIS |
| Purity | Polyclonal antibodies are purified by peptide affinity chromatography |
| Conjugation | Unconjugated |
Storage & Handling
−| Storage | Maintain refrigerated at 2-8°C for up to 2 weeks. For long term storage store at -20°C in small aliquots to prevent freeze-thaw cycles. |
|---|---|
| Form/Appearance | 10 mM PBS, 0.02% sodium azide |
| Concentration | - 100 μg (in 200 μl): 0.5 mg/ml- 200 μg (in 400 μl): 0.5 mg/ml |
| Disclaimer | For research use only |
Alternative Names
−Similar Products
−SLC5A5 Rabbit Polyclonal Antibody [orb325092]
IHC, WB
Equine, Mouse, Rat
Human
Rabbit
Polyclonal
Unconjugated
100 μlSodium Iodide Symporter Antibody (APC) [orb149656]
AM, IHC, WB
Human, Mouse, Rat
Mouse
Monoclonal
APC
100 μgSodium Iodide Symporter Antibody (Biotin) [orb149657]
AM, IHC, WB
Human, Mouse, Rat
Mouse
Monoclonal
Biotin
100 μgSodium Iodide Symporter Antibody (FITC) [orb149658]
AM, IHC, WB
Human, Mouse, Rat
Mouse
Monoclonal
FITC
100 μg

Quality Guarantee
Explore bioreagents carefree to elevate your research. All our products are rigorously tested for performance. If a product does not perform as described on its datasheet, our scientific support team will provide expert troubleshooting, a prompt replacement, or a refund. For full details, please see our Terms & Conditions and Buying Guide. Contact us at support@biorbyt.com.

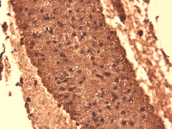
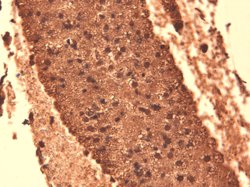
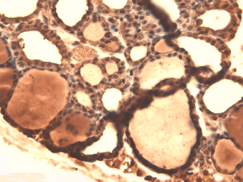
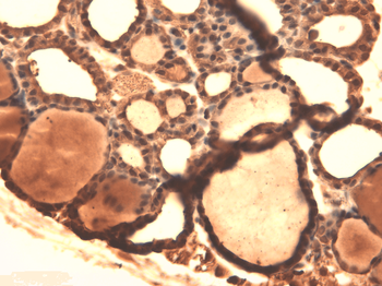
IHC-P image of human thyroid cancer tissue using NIS antibody (2.5 ug/ml)

Immunohistochemical staining of paraffin embedded mouse ovary tissue using NIS antibody (2.5 ug/ml)

IHC-P image of mouse ovary vessel tissue using anti-NIS (2.5 ug/ml)

Immunofluorescence analysis of mouse ovary tissue using anti-NIS (2.5 ug/ml)

IHC-P image of mouse ovary vessel tissue using anti-NIS (2.5 ug/ml)

Immunofluorescence image of mouse ovary tissue using NIS antibody (2.5 ug/ml)

IHC-P staining of human thyroid tumour tissue using NIS antibody (2.5 ug/ml)

IHC-P image of human thyroid cancer tissue using NIS antibody (2.5 ug/ml)

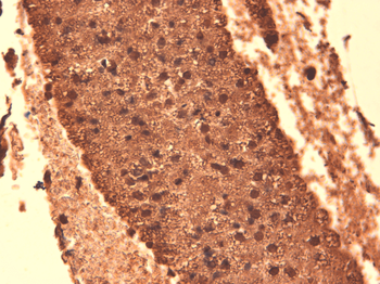
Immunohistochemical staining of paraffin embedded mouse brain tissue using anti-NIS (2.5 ug/ml)

IF analysis of mouse ovary tissue using anti-NIS (2.5 ug/ml)

IHC-P image of mouse ovary tissue using NIS antibody (2.5 ug/ml)

IF image of mouse ovary tissue using NIS antibody (2.5 ug/ml)
Quick Database Links
Documents Download
Request a Document
Protocol Information
NIS antibody (orb304039)
Participating in our Biorbyt product reviews program enables you to support fellow scientists by sharing your firsthand experience with our products.
Login to Submit a Review



















