You have no items in your shopping cart.
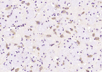
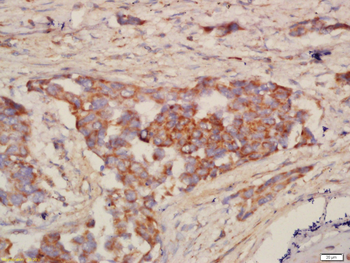
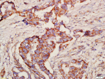
NLRP12 Rabbit Polyclonal Antibody
Description
Images & Validation
−| Tested Applications | WB |
|---|---|
| Reactivity | Human |
| Predicted Reactivity | Bovine, Canine, Mouse, Porcine, Rat |
Key Properties
−| Host | Rabbit |
|---|---|
| Clonality | Polyclonal |
| Immunogen | The immunogen is a synthetic peptide directed towards the N-terminal region of Human NLRP12 |
| Target | NLRP12 |
| Protein Sequence | Synthetic peptide located within the following region: LEVSLVTPRKDPQETYRDYVRRKFRLMEDRNARLGECVNLSHRYTRLLLV |
| Molecular Weight | 116kDa |
| Purification | Affinity Purified |
| Conjugation | Unconjugated |
Storage & Handling
−| Storage | Maintain refrigerated at 2-8°C for up to 2 weeks. For long term storage store at -20°C in small aliquots to prevent freeze-thaw cycles. |
|---|---|
| Buffer/Preservatives | Liquid. Purified antibody supplied in 1x PBS buffer with 0.09% (w/v) sodium azide and 2% sucrose. |
| Concentration | 0.5 mg/ml |
| Expiration Date | 12 months from date of receipt. |
| Disclaimer | For research use only |
Alternative Names
−Similar Products
−NALP12 Rabbit Polyclonal Antibody [orb100795]
IF, IHC-Fr, IHC-P
Bovine, Canine, Equine, Mouse, Porcine, Rabbit, Sheep
Human, Rat
Rabbit
Polyclonal
Unconjugated
50 μl, 100 μl, 200 μlNLRP12 Rabbit Polyclonal Antibody (HRP) [orb2091887]
WB
Bovine, Canine, Human, Mouse, Porcine, Rat
Rabbit
Polyclonal
HRP
100 μlNLRP12 Rabbit Polyclonal Antibody (FITC) [orb2091888]
WB
Bovine, Canine, Human, Mouse, Porcine, Rat
Rabbit
Polyclonal
FITC
100 μlNLRP12 Rabbit Polyclonal Antibody (Biotin) [orb2091889]
WB
Bovine, Canine, Human, Mouse, Porcine, Rat
Rabbit
Polyclonal
Biotin
100 μlNALP12 Rabbit Polyclonal Antibody (Biotin) [orb446373]
IF, IHC-Fr, IHC-P
Bovine, Canine, Equine, Mouse, Porcine, Rabbit, Sheep
Human, Rat
Rabbit
Polyclonal
Biotin
100 μl

Quality Guarantee
Explore bioreagents carefree to elevate your research. All our products are rigorously tested for performance. If a product does not perform as described on its datasheet, our scientific support team will provide expert troubleshooting, a prompt replacement, or a refund. For full details, please see our Terms & Conditions and Buying Guide. Contact us at support@biorbyt.com.

Sample Type: Hela Whole cell lysates, Antibody dilution: 1.0 ug/ml.
Documents Download
Request a Document
NLRP12 Rabbit Polyclonal Antibody (orb586123)
Participating in our Biorbyt product reviews program enables you to support fellow scientists by sharing your firsthand experience with our products.
Login to Submit a Review


