You have no items in your shopping cart.
Nrf2 Antibody
Description
Research Area
Images & Validation
−| Tested Applications | IF, IHC, WB |
|---|---|
| Dilution Range | WB: 1:500-3000, IHC-P: 1:50-100, IF/ICC: 1:100-500, ELISA: 1:5000 |
| Reactivity | Human, Mouse, Rat |
Key Properties
−| Host | Rabbit |
|---|---|
| Clonality | Polyclonal |
| Immunogen | C-terminal |
| Conjugation | Unconjugated |
Storage & Handling
−| Storage | Maintain refrigerated at 2-8°C for up to 2 weeks. For long term storage store at -20°C in small aliquots to prevent freeze-thaw cycles. |
|---|---|
| Concentration | 1mg/ml |
| Expiration Date | 12 months from date of receipt. |
| Disclaimer | For research use only |
Alternative Names
−Similar Products
−KEAP1 Rabbit Polyclonal Antibody [orb184489]
FC, ICC, IF, IHC-Fr, IHC-P, WB
Bovine, Canine, Porcine, Rabbit
Human, Mouse, Rat
Rabbit
Polyclonal
Unconjugated
50 μl, 100 μl, 200 μlPhospho-Nrf2 (Ser40) Recombinant Rabbit Monoclonal Antibody [orb506122]
FC, ICC, IF, IHC-Fr, IHC-P, WB
Mouse, Rat
Human
Rabbit
Recombinant
Unconjugated
25 μl, 50 μl, 100 μlNFE2L2 Rabbit Polyclonal Antibody [orb1294327]
IF, IHC, WB
Human, Mouse, Rat
Rabbit
Polyclonal
Unconjugated
100 μl, 25 μlPhospho-Nrf2 (Ser40) Rabbit Polyclonal Antibody [orb6544]
ICC, WB
Bovine, Canine, Gallus, Mouse, Rat
Human
Rabbit
Polyclonal
Unconjugated
200 μl, 50 μl, 100 μl

Quality Guarantee
Explore bioreagents carefree to elevate your research. All our products are rigorously tested for performance. If a product does not perform as described on its datasheet, our scientific support team will provide expert troubleshooting, a prompt replacement, or a refund. For full details, please see our Terms & Conditions and Buying Guide. Contact us at support@biorbyt.com.

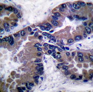
Immunohistochemical analysis of formalin-fixed and paraffin-embedded human lung carcinoma tissue using Nrf2 antibody

Confocal immunofluorescence analysis of HuvEc cells using Nrf2 antibody

Immunofluorescence analysis of HuvEc cells using NRF2 antibody

Western blot analysis of extracts from HuvEc cells using Nrf2 antibody

Western blot analysis of extracts from HuvEc cells, using NRF2 antibody

Immunohistochemical analysis of paraffin-embedded human lung carcinoma tissue using NRF2 antibody

IHC-P control; treated with synthetic peptide
Quick Database Links
UniProt Details
−Documents Download
Request a Document
Protocol Information
Rimsha Noor 1, Sadaf Naz 2, Jehan Zeb Khan 3, Muhammad Usama Mazhar 4, Maryam Khan 5, Zaineb Ilyas 6, Omeyya Tanveer 7, Ihsan Ul Haq 8, Muhammad Khalid Tipu Santonin attenuates Ovalbumin-induced airway inflammation by inhibiting IL-4/IL-13 signaling Biochem Biophys Res Commun, (2025)
Shinde, Vishal et al. RNA sequencing of corneas from two keratoconus patient groups identifies potential biomarkers and decreased NRF2-antioxidant responses Sci Rep, 10, 9907 (2020)
Nrf2 Antibody (orb128433)
Participating in our Biorbyt product reviews program enables you to support fellow scientists by sharing your firsthand experience with our products.
Login to Submit a Review
























































