You have no items in your shopping cart.
NUMA1 Antibody
Description
Research Area
Images & Validation
−| Tested Applications | ELISA, IF, IHC, WB |
|---|---|
| Dilution Range | WB:1:500-5000, IHC-P:1:20-200, IF:1:50-200 |
| Reactivity | Human |
Key Properties
−| Host | Rabbit |
|---|---|
| Clonality | Polyclonal |
| Isotype | IgG |
| Immunogen | Recombinant Human Nuclear mitotic apparatus protein 1 protein (627-870AA) |
| Target | NUMA1 |
| Purification | >95%, Protein G purified |
| Conjugation | Unconjugated |
Storage & Handling
−| Storage | Maintain refrigerated at 2-8°C for up to 2 weeks. For long term storage store at -20°C in small aliquots to prevent freeze-thaw cycles. |
|---|---|
| Form/Appearance | Liquid |
| Buffer/Preservatives | Preservative: 0.03% Proclin 300. Constituents: 50% Glycerol |
| Expiration Date | 12 months from date of receipt. |
| Disclaimer | For research use only |
Alternative Names
−Similar Products
−NUMA/NUMA1 Rabbit Polyclonal Antibody [orb1743788]
ELISA, FC, ICC, IF, IHC, WB
Human, Monkey, Mouse, Rat
Rabbit
Polyclonal
Unconjugated
100 μgHuman Nuclear Mitotic Apparatus Protein 1 (NUMA1) ELISA Kit [orb777851]
Human
0.16-10 ng/mL
0.06 ng/mL
48 T, 96 TNUMA1 Antibody [orb388531]
FC, IF, IHC
Human
Mouse
Monoclonal
Unconjugated
100 μg (without BSA), 20 μg, 100 μg

Quality Guarantee
Explore bioreagents carefree to elevate your research. All our products are rigorously tested for performance. If a product does not perform as described on its datasheet, our scientific support team will provide expert troubleshooting, a prompt replacement, or a refund. For full details, please see our Terms & Conditions and Buying Guide. Contact us at support@biorbyt.com.

Western blot analysis of Hela whole cell lysate(Lane 1), K562 whole cell lysate(Lane 2) using NUMA1 antibody

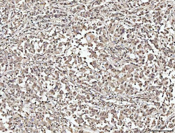
Immunohistochemical staining of human breast cancer using NUMA1 antibody

Immunohistochemical staining of human thyroi using NUMA1 antibody

Immunofluorescence analysis of MCF-7 cells using NUMA1 antibody
Quick Database Links
UniProt Details
−Documents Download
Request a Document
Protocol Information
NUMA1 Antibody (orb401216)
Participating in our Biorbyt product reviews program enables you to support fellow scientists by sharing your firsthand experience with our products.
Login to Submit a Review














