You have no items in your shopping cart.
OPTN Antibody
Description
Research Area
Images & Validation
−| Tested Applications | ELISA, IF, IHC, IP, WB |
|---|---|
| Dilution range | WB: 1:500-1:2000; IP:1:500-1:1000; IHC: 1:50-1:500; IF: 1:10-1:100 |
| Reactivity | Human, Mouse, Rat |
Key Properties
−| Antibody Type | Primary Antibody |
|---|---|
| Host | Rabbit |
| Clonality | Polyclonal |
| Isotype | IgG |
| Immunogen | optineurin |
| Target | OPTN |
| Molecular Weight | 66 kDa |
| Purity | ≥95% as determined by SDS-PAGE |
| Purification | Immunogen affinity purified |
| Conjugation | Unconjugated |
Storage & Handling
−| Storage | Maintain refrigerated at 2-8°C for up to 2 weeks. For long term storage store at -20°C in small aliquots to prevent freeze-thaw cycles. |
|---|---|
| Form/Appearance | liquid |
| Disclaimer | For research use only |
Alternative Names
−Similar Products
−Optineurin/OPTN Antibody [orb251526]
FC, IHC, WB
Human, Mouse, Rat
Rabbit
Polyclonal
Unconjugated
100 μgOptineurin Rabbit Polyclonal Antibody [orb158055]
IF, IHC-Fr, IHC-P, WB
Bovine, Human, Rat, Sheep
Mouse
Rabbit
Polyclonal
Unconjugated
50 μl, 100 μl, 200 μl

Quality Guarantee
Explore bioreagents carefree to elevate your research. All our products are rigorously tested for performance. If a product does not perform as described on its datasheet, our scientific support team will provide expert troubleshooting, a prompt replacement, or a refund. For full details, please see our Terms & Conditions and Buying Guide. Contact us at support@biorbyt.com.

HeLa cells were subjected to SDS PAGE followed by western blot with orb629538 (OPTN antibody) at dilution of 1:1000.

Immunofluorescent analysis of MCF-7 cells, using OPTN antibody orb629538 at 1:25 dilution and Rhodamine-labeled goat anti-rabbit IgG (red).

IP Result of anti-OPTN (IP: orb629538, 4 ug; Detection: orb629538 1:600) with mouse brain tissue lysate 10000 ug.

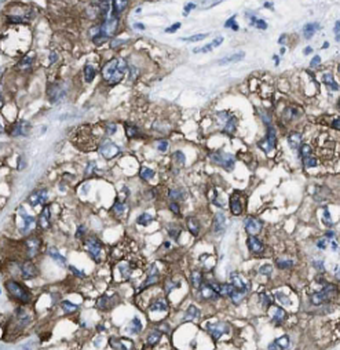
Immunohistochemistry of paraffin-embedded human gliomas tissue slide using orb629538 (OPTN Antibody) at dilution of 1:200.
Quick Database Links
UniProt Details
−Documents Download
Request a Document
Protocol Information
OPTN Antibody (orb629538)
Participating in our Biorbyt product reviews program enables you to support fellow scientists by sharing your firsthand experience with our products.
Login to Submit a Review










