You have no items in your shopping cart.
OSM Antibody
Description
Research Area
Images & Validation
−| Tested Applications | ELISA, IHC |
|---|---|
| Dilution range | IHC-P:1:20-1:200 |
| Reactivity | Human |
Key Properties
−| Host | Rabbit |
|---|---|
| Clonality | Polyclonal |
| Isotype | IgG |
| Immunogen | Recombinant Human Oncostatin-M protein (26-220AA) |
| Target | OSM |
| Purification | >95%, Protein G purified |
| Conjugation | Unconjugated |
Storage & Handling
−| Storage | Maintain refrigerated at 2-8°C for up to 2 weeks. For long term storage store at -20°C in small aliquots to prevent freeze-thaw cycles. |
|---|---|
| Form/Appearance | Liquid |
| Buffer/Preservatives | Preservative: 0.03% Proclin 300. Constituents: 50% Glycerol |
| Disclaimer | For research use only |
Alternative Names
−Similar Products
−TRPV5 Antibody [orb570361]
ELISA, FC, ICC, IHC, IHC-Fr, WB
Human, Mouse, Rat
Rabbit
Polyclonal
Unconjugated
100 μgTRPV1 Rabbit Polyclonal Antibody [orb500680]
IF, IHC-Fr, IHC-P, WB
Bovine, Canine, Equine, Human, Porcine, Rabbit, Rat, Sheep
Mouse
Rabbit
Polyclonal
Unconjugated
200 μl, 50 μl, 100 μlMouse Transient Receptor Potential Cation Channel Subfamily V, Member 2 (TRPV2) ELISA Kit [orb780366]
Mouse
0.16-10 ng/mL
0.05 ng/mL
96 T, 48 TMouse Transient Receptor Potential Cation Channel Subfamily V, Member 1 (TRPV1) ELISA Kit [orb780216]
Mouse
0.16-10 ng/mL
0.056 ng/mL
48 T, 96 T

Quality Guarantee
Explore bioreagents carefree to elevate your research. All our products are rigorously tested for performance. If a product does not perform as described on its datasheet, our scientific support team will provide expert troubleshooting, a prompt replacement, or a refund. For full details, please see our Terms & Conditions and Buying Guide. Contact us at support@biorbyt.com.

Immunohistochemistry of paraffin-embedded human liver cancer tissue using Oncostatin-M antibody

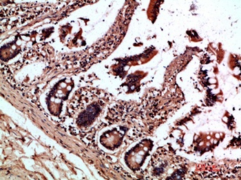
Immunohistochemistry of paraffin-embedded human colon cancer tissue using Oncostatin-M antibody
Quick Database Links
UniProt Details
−Documents Download
Request a Document
Protocol Information
OSM Antibody (orb239650)
Participating in our Biorbyt product reviews program enables you to support fellow scientists by sharing your firsthand experience with our products.
Login to Submit a Review














