You have no items in your shopping cart.
OXSM Antibody
SKU: orb37068
Description
Research Area
Cardiovascular Research
Images & Validation
−Item 1 of 2
| Tested Applications | ELISA, IHC |
|---|---|
| Dilution Range | IHC-P:1:20-200 |
| Reactivity | Human |
Key Properties
−| Host | Rabbit |
|---|---|
| Clonality | Polyclonal |
| Isotype | IgG |
| Immunogen | Recombinant Human 3-oxoacyl-[acyl-carrier-protein] synthase, mitochondrial protein (78-345AA) |
| Target | OXSM |
| Purification | >95%, Protein G purified |
| Conjugation | Unconjugated |
Storage & Handling
−| Storage | Maintain refrigerated at 2-8°C for up to 2 weeks. For long term storage store at -20°C in small aliquots to prevent freeze-thaw cycles. |
|---|---|
| Form/Appearance | Liquid |
| Buffer/Preservatives | Preservative: 0.03% Proclin 300. Constituents: 50% Glycerol |
| Expiration Date | 12 months from date of receipt. |
| Disclaimer | For research use only |
Alternative Names
−3 oxoacyl ACP synthase, mitochondrial antibody; 3 oxoacyl acyl carrier protein synthase antibody; 3-oxoacyl-[acyl-carrier-protein] synthase, mitochondrial antibody; Acyl malonyl acyl carrier protein condensing enzyme antibody; Beta ketoacyl ACP synthase antibody; beta-ketoacyl synthase antibody; beta-ketoacyl synthase, mitochondrial antibody; Beta-ketoacyl-ACP synthase antibody; C80494 antibody; FASN2D antibody; FLJ20604 antibody; KASI antibody; KS antibody; OXSM antibody; OXSM_HUMAN antibody; type II mitochondrial beta ketoacyl synthase antibody
Similar Products
−OXSM Rabbit Polyclonal Antibody [orb1676236]
ELISA, FC, ICC, IF, IHC, WB
Human, Rat
Rabbit
Polyclonal
Unconjugated
100 μg

Quality Guarantee
Explore bioreagents carefree to elevate your research. All our products are rigorously tested for performance. If a product does not perform as described on its datasheet, our scientific support team will provide expert troubleshooting, a prompt replacement, or a refund. For full details, please see our Terms & Conditions and Buying Guide. Contact us at support@biorbyt.com.

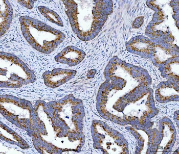
Immunohistochemical staining of human gastric cancer using OXSM antibody

Immunohistochemical staining of human tonsil tissue using OXSM antibody
Quick Database Links
Gene Symbol
OXSM
UniProt
UniProt Details
− No UniProt data available
Documents Download
Datasheet
Product Information
Request a Document
Protocol Information
IHC
Immunohistochemistry
ELISA
Enzyme-linked Immunosorbent Assay (EIA)
OXSM Antibody (orb37068)
Based on 0 reviews
Participating in our Biorbyt product reviews program enables you to support fellow scientists by sharing your firsthand experience with our products.
Login to Submit a Review









