You have no items in your shopping cart.
p38 MAPK Antibody (APC)
Description
Research Area
Images & Validation
−| Tested Applications | AM, ELISA, IHC, IP, WB |
|---|---|
| Dilution Range | WB (1:1000), IHC (1:1000) |
| Reactivity | Human, Mouse, Rat |
| Application Notes |
Key Properties
−| Host | Mouse |
|---|---|
| Clonality | Monoclonal |
| Isotype | IgG1 |
| Clone No. | 9F12 |
| Immunogen | Full length recombinant protein expressed in E.coli cells |
| Target | p38 MAPK |
| Molecular Weight | 38kDa |
| Purification | Protein G Purified |
| Conjugation | APC |
Storage & Handling
−| Storage | Conjugated antibodies should be stored according to the product label |
|---|---|
| Buffer/Preservatives | 95.46mM Phosphate, 2.48mM MES and 2mM EDTA |
| Concentration | 1 mg/ml |
| Expiration Date | 12 months from date of receipt. |
| Disclaimer | For research use only |
Alternative Names
−Similar Products
−Erk1/2 Antibody (APC) [orb151495]
FC, ICC, IF, IHC, WB
Bovine, Drosophila, Frog, Gallus, Human, Mouse, Rat, Sheep
Rabbit
Polyclonal
APC
100 μlp38 Antibody (APC) [orb151878]
ICC, IF, IHC, IP, WB
Bovine, Canine, Gallus, Guinea pig, Hamster, Human, Monkey, Mouse, Porcine, Rabbit, Rat, Sheep
Rabbit
Polyclonal
APC
100 μlMAPK11 Rabbit Polyclonal Antibody (APC-Cy7) [orb2422641]
IF
Canine, Equine, Mouse
Human, Rat
Rabbit
Polyclonal
APC/Cy7
100 μlMAPK11 Rabbit Polyclonal Antibody (APC-Cy5.5) [orb2422642]
IF
Canine, Equine, Mouse
Human, Rat
Rabbit
Polyclonal
APC/Cy5.5
100 μlERK2 Rabbit Polyclonal Antibody (APC-Cy7) [orb2440442]
FC, IF
Canine, Equine, Porcine, Rabbit
Human, Mouse, Rat
Rabbit
Polyclonal
APC/Cy7
100 μl

Quality Guarantee
Explore bioreagents carefree to elevate your research. All our products are rigorously tested for performance. If a product does not perform as described on its datasheet, our scientific support team will provide expert troubleshooting, a prompt replacement, or a refund. For full details, please see our Terms & Conditions and Buying Guide. Contact us at support@biorbyt.com.

Immunohistochemistry analysis using Mouse Anti-p38 MAPK Monoclonal Antibody, Clone 9F12. Tissue: Retinal Injury Model. Species: Mouse. Primary Antibody: Mouse Anti-p38 MAPK Monoclonal Antibody at 1:1000. Secondary Antibody: Alexa Fluor 594 Goat Anti-Mouse (red).

Immunohistochemistry analysis using Mouse Anti-p38 MAPK Monoclonal Antibody, Clone 9F12. Tissue: colon carcinoma. Species: Human. Fixation: Formalin. Primary Antibody: Mouse Anti-p38 MAPK Monoclonal Antibody at 1:10000 for 12 hours at 4°C. Secondary Antibody: Biotin Goat Anti-Mouse at 1:2000 for 1 hour at RT. Counterstain: Mayer Hematoxylin (purple/blue) nuclear stain at 200 μl for 2 minutes at RT. Magnification: 40x.

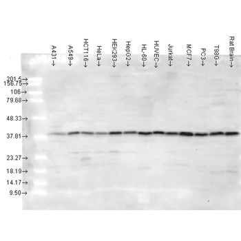
Western Blot analysis of Human Cell lysates showing detection of p38 MAPK protein using Mouse Anti-p38 MAPK Monoclonal Antibody, Clone 9F12. Load: 15 μg. Block: 1.5% BSA for 30 minutes at RT. Primary Antibody: Mouse Anti-p38 MAPK Monoclonal Antibody at 1:1000 for 2 hours at RT. Secondary Antibody: Sheep Anti-Mouse IgG: HRP for 1 hour at RT.
Quick Database Links
UniProt Details
−NCBI Gene Details
−NCBI Reference Sequences
−| Protein | NP_001306.1 |
|---|
Documents Download
Request a Document
Protocol Information
p38 MAPK Antibody (APC) (orb147363)
Participating in our Biorbyt product reviews program enables you to support fellow scientists by sharing your firsthand experience with our products.
Login to Submit a Review








