You have no items in your shopping cart.
PA2G4 Antibody
Description
Research Area
Images & Validation
−| Tested Applications | ELISA, IF, IHC, WB |
|---|---|
| Dilution Range | WB:1:500-2000, IHC-P:1:20-1:200 |
| Reactivity | Human |
Key Properties
−| Host | Rabbit |
|---|---|
| Clonality | Polyclonal |
| Isotype | IgG |
| Immunogen | Recombinant Human Proliferation-associated protein 2G4 protein (2-394AA) |
| Target | PA2G4 |
| Purification | >95%, Protein G purified |
| Conjugation | Unconjugated |
Storage & Handling
−| Storage | Maintain refrigerated at 2-8°C for up to 2 weeks. For long term storage store at -20°C in small aliquots to prevent freeze-thaw cycles. |
|---|---|
| Form/Appearance | Liquid |
| Buffer/Preservatives | Preservative: 0.03% Proclin 300. Constituents: 50% Glycerol |
| Expiration Date | 12 months from date of receipt. |
| Disclaimer | For research use only |
Alternative Names
−Similar Products
−PA2G4 Antibody (Center R243) [orb1931398]
FC, IF, IHC-P, WB
Mouse
Human
Rabbit
Polyclonal
Unconjugated
50 μl, 100 μlHuman Proliferation Associated Protein 2G4 (PA2G4) ELISA Kit [orb779987]
Human
0.32-20 ng/mL
0.112 ng/mL
96 T, 48 TPA2G4 Rabbit Polyclonal Antibody [orb580126]
IHC, WB
Bovine, Canine, Equine, Guinea pig, Mouse, Rabbit, Rat, Zebrafish
Human
Rabbit
Polyclonal
Unconjugated
100 μlCoREST/RCOR1 Rabbit Polyclonal Antibody [orb763140]
ELISA, FC, ICC, IF, IHC, WB
Human
Rabbit
Polyclonal
Unconjugated
100 μg

Quality Guarantee
Explore bioreagents carefree to elevate your research. All our products are rigorously tested for performance. If a product does not perform as described on its datasheet, our scientific support team will provide expert troubleshooting, a prompt replacement, or a refund. For full details, please see our Terms & Conditions and Buying Guide. Contact us at support@biorbyt.com.

Immunohistochemistry of paraffin-embedded human kidney tissue using PA2G4 antibody

Western blot aanalysis of Hela whole cell lysate, Jurkat whole cell lysate, MCF-7 whole cell lysate, PC-3 whole cell lysateusing PA2G4 antibody

Immunofluorescence staining of MCF-7 cells using PA2G4 antibody

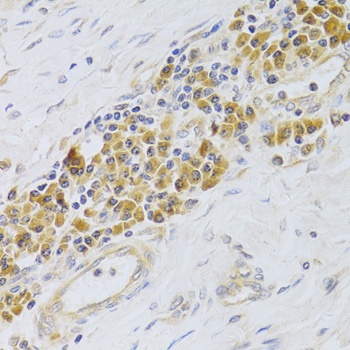
Immunohistochemistry of paraffin-embedded human breast cancer tissue using PA2G4 antibody
Quick Database Links
UniProt Details
−Documents Download
Request a Document
Protocol Information
PA2G4 Antibody (orb355959)
Participating in our Biorbyt product reviews program enables you to support fellow scientists by sharing your firsthand experience with our products.
Login to Submit a Review
















