You have no items in your shopping cart.
PACSIN2 Antibody
Description
Research Area
Images & Validation
−| Tested Applications | ELISA, IHC, WB |
|---|---|
| Dilution Range | WB:1:1000-5000, IHC-P:1:20-200 |
| Reactivity | Human, Mouse |
Key Properties
−| Host | Rabbit |
|---|---|
| Clonality | Polyclonal |
| Isotype | IgG |
| Immunogen | Recombinant Human Protein kinase C and casein kinase substrate in neurons protein 2 protein (240-410AA) |
| Target | PACSIN2 |
| Purification | Antigen Affinity Purified |
| Conjugation | Unconjugated |
Storage & Handling
−| Storage | Maintain refrigerated at 2-8°C for up to 2 weeks. For long term storage store at -20°C in small aliquots to prevent freeze-thaw cycles. |
|---|---|
| Form/Appearance | Liquid |
| Buffer/Preservatives | PBS with 0.02% sodium azide, 50% glycerol, pH7.3. |
| Expiration Date | 12 months from date of receipt. |
| Disclaimer | For research use only |
Alternative Names
−Similar Products
−PACSIN2 Rabbit Polyclonal Antibody [orb1676243]
ELISA, FC, ICC, IF, IHC, WB
Human, Monkey, Mouse, Rat
Rabbit
Polyclonal
Unconjugated
100 μgPACSIN2 Antibody (C-term) [orb1928617]
IHC-P, WB
Human, Mouse, Rat
Rabbit
Polyclonal
Unconjugated
100 μl, 50 μlPACSIN2 Rabbit Polyclonal Antibody [orb312627]
IF, IHC-Fr, IHC-P, WB
Bovine, Canine, Equine, Human, Porcine, Rabbit, Sheep
Mouse, Rat
Rabbit
Polyclonal
Unconjugated
100 μl, 200 μl, 50 μl

Quality Guarantee
Explore bioreagents carefree to elevate your research. All our products are rigorously tested for performance. If a product does not perform as described on its datasheet, our scientific support team will provide expert troubleshooting, a prompt replacement, or a refund. For full details, please see our Terms & Conditions and Buying Guide. Contact us at support@biorbyt.com.

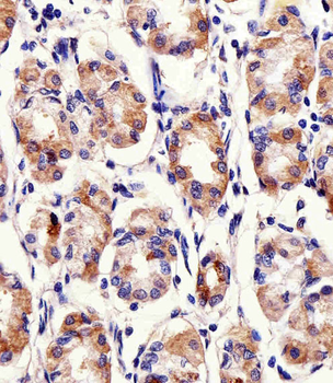
Immunohistochemical staining of human pancreatic tissue using PACSIN2 antibody

Immunohistochemical staining of human gastric cancer using PACSIN2 antibody

Western blot analysis of Mouse heart tissue(lane 1), Mouse lung tissue(lane 2), NIH/3T3 whole cell lysate(lane 3), Hela whole cell lysate(lane 4), HL60 whole cell lysate(lane 5), HepG2 whole cell lysate(lane 6) using PACSIN2 antibody
Quick Database Links
UniProt Details
−Documents Download
Request a Document
Protocol Information
PACSIN2 Antibody (orb40937)
Participating in our Biorbyt product reviews program enables you to support fellow scientists by sharing your firsthand experience with our products.
Login to Submit a Review




















