You have no items in your shopping cart.
PAH Antibody (Center)
Description
Research Area
Images & Validation
−| Tested Applications | IHC-P, WB |
|---|---|
| Dilution Range | WB - 1:1000 |
| Reactivity | Human, Mouse, Rat |
Key Properties
−| Antibody Type | Primary Antibody |
|---|---|
| Host | Mouse |
| Clonality | Monoclonal |
| Isotype | IgG1,κ |
| Molecular Weight | 51862 Da |
| Conjugation | Unconjugated |
Storage & Handling
−| Storage | Maintain refrigerated at 2-8°C for up to 2 weeks. For long term storage store at -20°C in small aliquots to prevent freeze-thaw cycles |
|---|---|
| Form/Appearance | Purified monoclonal antibody supplied in PBS with 0.09% (W/V) sodium azide. This antibody is purified through a protein G column, followed by dialysis against PBS. |
| Expiration Date | 12 months from date of receipt. |
| Disclaimer | For research use only |
Similar Products
−PAH Antibody (Center) [orb1930763]
WB
Bovine, Rat
Human, Mouse
Rabbit
Polyclonal
Unconjugated
100 μl, 50 μlPAH Mouse Monoclonal Antibody [orb1474131]
IHC, WB
Human, Mouse, Rat
Mouse
Monoclonal
Unconjugated
50 μl, 200 μl, 100 μl, 30 μlPAHT Rabbit Polyclonal Antibody [orb214892]
IHC, WB
Human, Monkey
Rabbit
Polyclonal
Unconjugated
30 μl, 100 μl, 200 μl, 50 μlPAH Antibody (Center) [orb2996019]
IHC-P, WB
Bovine
Human, Mouse, Rat
Mouse
Monoclonal
Unconjugated
50 μl, 100 μl

Quality Guarantee
Explore bioreagents carefree to elevate your research. All our products are rigorously tested for performance. If a product does not perform as described on its datasheet, our scientific support team will provide expert troubleshooting, a prompt replacement, or a refund. For full details, please see our Terms & Conditions and Buying Guide. Contact us at support@biorbyt.com.

Immunohistochemical analysis of paraffin-embedded H. liver section using PAH Antibody (Center). Diluted at 1:25 dilution. A peroxidase-conjugated goat anti-mouse IgG at 1:400 dilution was used as the secondary antibody, followed by DAB staining.

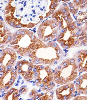
Immunohistochemical analysis of paraffin-embedded M. kidney section using PAH Antibody (Center). Diluted at 1:25 dilution. A peroxidase-conjugated goat anti-mouse IgG at 1:400 dilution was used as the secondary antibody, followed by DAB staining.

All lanes: Anti-PAH Antibody (Center) at 1:1000 dilution. Lane 1: C6 whole cell lysate. Lane 2: Rat brain lysate. Lysates/proteins at 20 µg per lane. Secondary: Goat Anti-Mouse IgG, (H+L), Peroxidase conjugated at 1/8000 dilution.Observed band size: 52 KDa. Blocking/Dilution buffer: 5% NFDM/TBST.

All lanes: Anti-PAH Antibody (Center) at 1:1000 dilution. Lane 1: C6 whole cell lysate. Lane 2: Rat brain lysate. Lysates/proteins at 20 µg per lane. Secondary: Goat Anti-Mouse IgG, (H+L), Peroxidase conjugated at 1/8000 dilution.Observed band size: 52 KDa. Blocking/Dilution buffer: 5% NFDM/TBST.

All lanes: Anti-PAH Antibody (Center) at 1:1000 dilution. Lane 1: C6 whole cell lysate. Lane 2: Rat brain lysate. Lysates/proteins at 20 µg per lane. Secondary: Goat Anti-Mouse IgG, (H+L), Peroxidase conjugated at 1/8000 dilution.Observed band size: 52 KDa. Blocking/Dilution buffer: 5% NFDM/TBST.

Western blot analysis of lysates from HepG2 cell line and mouse liver rat liver tissue lysates (from left to right) using PAH Antibody (Center). Diluted at 1:1000 at each lane. A goat anti-mouse IgG H&L (HRP) at 1: 3000 dilution was used as the secondary antibody. Lysates at 35μg per lane.

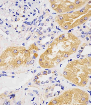
Staining PAH in human kidney tissue sections by Immunohistochemistry (IHC-P - paraformaldehyde-fixed, paraffin-embedded sections). Tissue was fixed with formaldehyde and blocked with 3% BSA for 0.5 hour at room temperature; antigen retrieval was by heat mediation with a citrate buffer (pH6). Samples were incubated with primary antibody (1/25) for 1 hours at 37°C. A undiluted biotinylated goat polyvalent antibody was used as the secondary antibody.
Quick Database Links
UniProt Details
−Documents Download
Request a Document
Protocol Information
PAH Antibody (Center) (orb1927180)
Participating in our Biorbyt product reviews program enables you to support fellow scientists by sharing your firsthand experience with our products.
Login to Submit a Review




