You have no items in your shopping cart.
Parkin Antibody
Description
Images & Validation
−| Tested Applications | FC, ICC, IHC, IP, WB |
|---|---|
| Reactivity | Human, Mouse, Rat |
| Application Notes |
Key Properties
−| Antibody Type | Primary Antibody |
|---|---|
| Host | Rabbit |
| Clonality | Recombinant |
| Clone No. | JF82-09 |
| Molecular Weight | 52 kDa |
| Conjugation | Unconjugated |
Storage & Handling
−| Storage | Maintain refrigerated at 2-8°C for up to 2 weeks. For long term storage store at -20°C in small aliquots to prevent freeze-thaw cycles. |
|---|---|
| Form/Appearance | 1*TBS (pH7.4), 1%rAlbumin, 40%Glycerol. Preservative: 0.05% Sodium Azide. |
| Expiration Date | 12 months from date of receipt. |
| Disclaimer | For research use only |
Alternative Names
−Similar Products
−Phospho-Parkin (Ser65) Rabbit Polyclonal Antibody [orb312554]
IF, IHC-Fr, IHC-P, WB
Bovine, Equine, Monkey, Porcine, Sheep
Human, Mouse
Rabbit
Polyclonal
Unconjugated
50 μl, 100 μl, 200 μlParkin Antibody (C-term) [orb1930056]
FC, IF, IHC-P, WB
Human, Mouse
Rabbit
Polyclonal
Unconjugated
50 μl, 100 μlParkin Rabbit Polyclonal Antibody [orb526783]
IF, IHC-Fr, IHC-P, WB
Bovine, Porcine, Rat, Sheep
Human, Mouse
Rabbit
Polyclonal
Unconjugated
200 μl, 50 μl, 100 μlPhospho-PARK2 (Ser378) Rabbit Polyclonal Antibody [orb6646]
IF, IHC-Fr, IHC-P, WB
Guinea pig, Porcine
Human, Mouse
Rabbit
Polyclonal
Unconjugated
50 μl, 100 μl, 200 μlParkin/PRKN Rabbit Polyclonal Antibody [orb234353]
ICC, IHC, WB
Human, Mouse, Rat
Rabbit
Polyclonal
Unconjugated
100 μg

Quality Guarantee
Explore bioreagents carefree to elevate your research. All our products are rigorously tested for performance. If a product does not perform as described on its datasheet, our scientific support team will provide expert troubleshooting, a prompt replacement, or a refund. For full details, please see our Terms & Conditions and Buying Guide. Contact us at support@biorbyt.com.

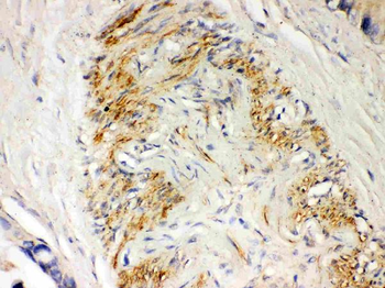
Immunohistochemical analysis of paraffin-embedded mouse testis tissue using anti-Parkin antibody.

Flow cytometric analysis of SH-SY-5Y cells with Parkin antibody

Immunofluorescence analysis of N2A cells using Parkin antibody.

Immunofluorescence analysis of SH-SY-5Y cells (red) using Parkin antibody.

Immunofluorescence analysis of PC-3M cells (red) using Parkin antibody.

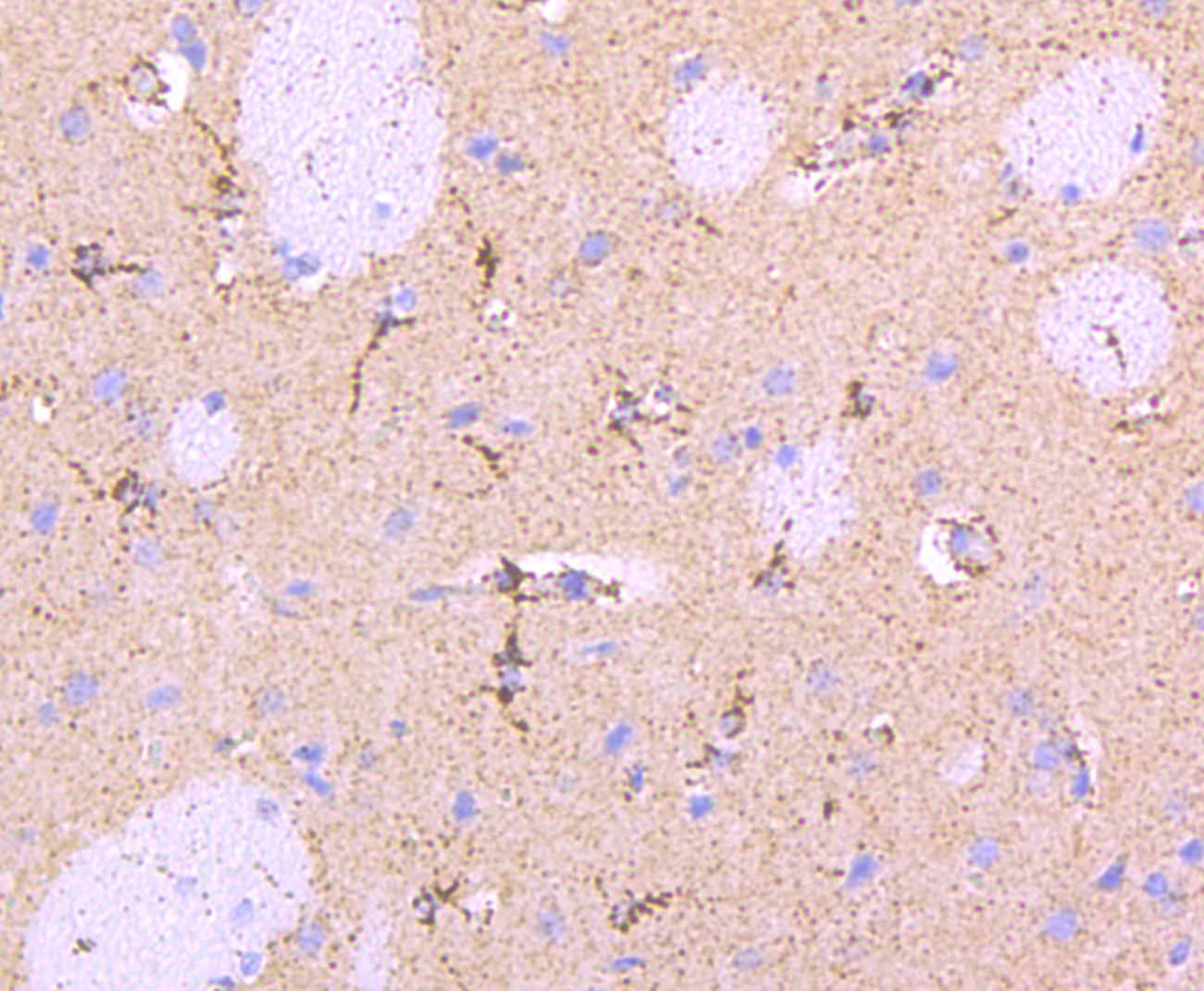
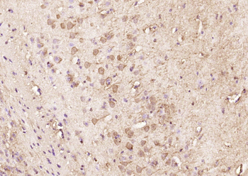
Immunohistochemical analysis of paraffin-embedded rat brain tissue using anti-Parkin antibody.
Quick Database Links
UniProt Details
−Documents Download
Request a Document
Protocol Information
Parkin Antibody (orb622128)
Participating in our Biorbyt product reviews program enables you to support fellow scientists by sharing your firsthand experience with our products.
Login to Submit a Review



















