You have no items in your shopping cart.
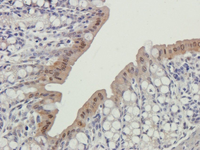
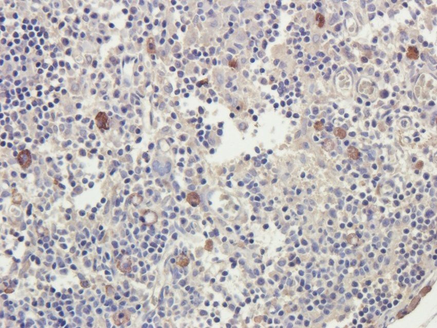
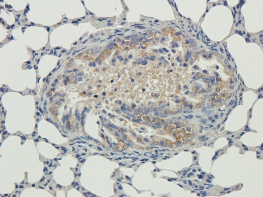
CD3E Antibody
SKU: orb1237951
Description
Images & Validation
−
Key Properties
−| Antibody Type | Primary Antibody |
|---|---|
| Clonality | Recombinant |
| Isotype | Bispecific scFv,Kappa;Lambda |
| Immunogen | Humanized / TNFRSF17, CD3E |
| Target | CD3E |
| Purity | >95% |
| Purification | >95% |
| Conjugation | Unconjugated |
Storage & Handling
−| Storage | Use a manual defrost freezer and avoid repeated freeze-thaw cycles. Store at +4°C short term (1-2 weeks). Store at -20 °C 12 months. Store at -80°C long term. |
|---|---|
| Buffer/Preservatives | PBS buffer pH 7.5 |
| Concentration | batch dependent |
| Disclaimer | For research use only |
Alternative Names
−AMG701, AMG-701, ANTI-BCMA X ANTI-CD3 BITE (BISPECIFIC T CELL ENGAGER) ANTIBODY CONSTRUCT, ANTI-BCMA X ANTI-CD3 BITE AMG 701, ANTI-BCMA/CD3 BITE ANTIBODY AMG 701, BCMA/CD3-DIRECTED BISPECIFIC T-CELL ENGAGER ANTIBODY AMG 701, PAVURUTAMAB, PAVURUTAMAB [INN], PAVURUTAMAB [USAN], T3E; TCRE; IMD18; CD3epsilon
Similar Products
−CD3 epsilon/CD3E Antibody [orb196263]
ICC, IF, IHC, IHC-Fr, WB
Gallus, Human, Mouse, Rat
Rabbit
Polyclonal
Unconjugated
100 μgCD3E antibody [orb389336]
ICC, IF, IHC-P, WB
Guinea pig, Human, Mouse, Rat
Rabbit
Polyclonal
Unconjugated
100 μg

Quality Guarantee
Explore bioreagents carefree to elevate your research. All our products are rigorously tested for performance. If a product does not perform as described on its datasheet, our scientific support team will provide expert troubleshooting, a prompt replacement, or a refund. For full details, please see our Terms & Conditions and Buying Guide. Contact us at support@biorbyt.com.
Documents Download
Datasheet
Product Information
Request a Document
Protocol Information
CD3E Antibody (orb1237951)
Based on 0 reviews
Participating in our Biorbyt product reviews program enables you to support fellow scientists by sharing your firsthand experience with our products.
Login to Submit a Review





































