You have no items in your shopping cart.
PBK Antibody
Description
Images & Validation
−| Tested Applications | FC, ICC, IHC, WB |
|---|---|
| Dilution Range | WB: 1/500 - 1/2000; IHC: 1/200 - 1/1000; IF/ICC: 1/200 - 1/1000; FCM: 1/200 - 1/400; ELISA: 1/10000 |
| Reactivity | Human |
Key Properties
−| Antibody Type | Primary Antibody |
|---|---|
| Host | Mouse |
| Clonality | Monoclonal |
| Isotype | Mouse IgG2b |
| Clone No. | 2C8E11 |
| Immunogen | Purified recombinant fragment of human PBK expressed in E. Coli. |
| Target | PBK |
| Molecular Weight | 36kDa |
| Conjugation | Unconjugated |
Storage & Handling
−| Storage | Maintain refrigerated at 2-8°C for up to 2 weeks. For long term storage store at -20°C in small aliquots to prevent freeze-thaw cycles. |
|---|---|
| Buffer/Preservatives | Ascitic fluid containing 0.03% sodium azide. |
| Concentration | Approximately 1mg/ml (varies from batch to batch). Please inquire for precise concentration. |
| Expiration Date | 12 months from date of receipt. |
| Disclaimer | For research use only |
Alternative Names
−Similar Products
−PBK Rabbit Polyclonal Antibody [orb234356]
FC, ICC, IF, IHC, WB
Human, Mouse, Rat
Rabbit
Polyclonal
Unconjugated
100 μgMouse Pbk Antibody(N-term) [orb1932321]
FC, IHC-P, WB
Human, Mouse
Rabbit
Polyclonal
Unconjugated
100 μl, 50 μlPBK Antibody (C-term C300) [orb1929514]
IHC-P, WB
Mouse
Human
Rabbit
Polyclonal
Unconjugated
100 μl, 50 μlPBK Rabbit Polyclonal Antibody [orb5843]
FC, WB
Bovine, Canine, Porcine, Rat
Human, Mouse
Rabbit
Polyclonal
Unconjugated
50 μl, 100 μl, 200 μl

Quality Guarantee
Explore bioreagents carefree to elevate your research. All our products are rigorously tested for performance. If a product does not perform as described on its datasheet, our scientific support team will provide expert troubleshooting, a prompt replacement, or a refund. For full details, please see our Terms & Conditions and Buying Guide. Contact us at support@biorbyt.com.

Line graph illustrates about the Ag-Ab reactions using different concentrations of antigen and serial dilutions of PBK antibody

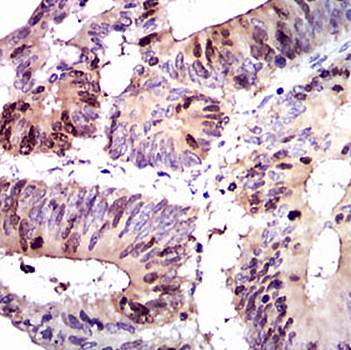
IHC-P of colon cancer tissues using PBK antibody

Confocal immunofluorescence analysis of Hela cells using PBK antibody

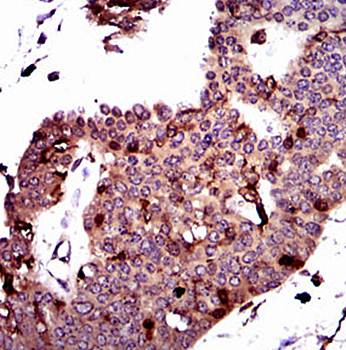
Immunohistochemical analysis of formalin fixed and paraffin-embedded ovarian cancer tissues using PBK antibody

Western blot analysis of A431 cell lysate using PBK antibody

Western blot analysis of human (AA: 50-230) recombinant protein using PBK antibody

Flow cytometric analysis of Hela cells using PBK antibody
Documents Download
Request a Document
Protocol Information
PBK Antibody (orb97434)
Participating in our Biorbyt product reviews program enables you to support fellow scientists by sharing your firsthand experience with our products.
Login to Submit a Review














