You have no items in your shopping cart.
PCK1 Rabbit Polyclonal Antibody
Description
Research Area
Images & Validation
−| Tested Applications | WB |
|---|---|
| Reactivity | Human, Porcine |
| Predicted Reactivity | Bovine, Canine, Equine, Guinea pig, Mouse, Rabbit, Rat |
Key Properties
−| Host | Rabbit |
|---|---|
| Clonality | Polyclonal |
| Immunogen | The immunogen is a synthetic peptide directed towards the middle region of human PCK1 |
| Target | PCK1 |
| Molecular Weight | 69 kDa |
| Purification | Affinity Purified |
| Conjugation | Unconjugated |
Storage & Handling
−| Storage | Maintain refrigerated at 2-8°C for up to 2 weeks. For long term storage store at -20°C in small aliquots to prevent freeze-thaw cycles. |
|---|---|
| Buffer/Preservatives | Liquid. Purified antibody supplied in 1x PBS buffer with 0.09% (w/v) sodium azide and 2% sucrose. |
| Concentration | 0.5 mg/ml |
| Disclaimer | For research use only |
Alternative Names
−Similar Products
−PCK1 Rabbit Polyclonal Antibody [orb574391]
IHC, WB
Bovine, Canine, Equine, Guinea pig, Mouse, Porcine, Rabbit, Rat
Human
Rabbit
Polyclonal
Unconjugated
100 μlPEPCK-C rabbit pAb Antibody [orb766841]
ELISA, IF, IHC, WB
Human, Mouse, Rat
Polyclonal
Unconjugated
100 μlPCK1 Rabbit Polyclonal Antibody [orb158118]
WB
Bovine, Canine, Human, Porcine, Rabbit, Rat, Sheep
Mouse
Rabbit
Polyclonal
Unconjugated
100 μl, 50 μl, 200 μlPCK1 Antibody [orb1319845]
ELISA, IHC, WB
Human, Monkey, Mouse, Rat
Rabbit
Polyclonal
Unconjugated
100 μg

Quality Guarantee
Explore bioreagents carefree to elevate your research. All our products are rigorously tested for performance. If a product does not perform as described on its datasheet, our scientific support team will provide expert troubleshooting, a prompt replacement, or a refund. For full details, please see our Terms & Conditions and Buying Guide. Contact us at support@biorbyt.com.

25 ug of the indicated Human whole cell extracts was loaded onto a 12% SDS-PAGE gel. 3 ug/ml of the antibody was used in this experiment.

Sample Tissue: Human 293T Whole Cell, Antibody dilution: 3 ug/ml.

Sample Tissue: Human MCF7 Whole Cell, Antibody dilution: 1 ug/ml.

Sample Tissue: Human MCF7 Whole Cell, Antibody dilution: 1 ug/ml.

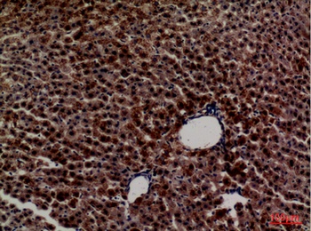
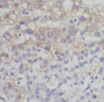
Sample Type: Human Adult Placenta, Antibody dilution: 1.0 ug/ml.

Sample Type: Human Fetal Heart, Antibody dilution: 1.0 ug/ml.

Sample Type: Human Fetal Liver, Antibody dilution: 1.0 ug/ml.

Sample Type: Human Fetal Lung, Antibody dilution: 1.0 ug/ml.

Sample Type: Human Fetal Muscle, Antibody dilution: 1.0 ug/ml.

Sample Type: MCF7, Antibody dilution: 1.0 ug/ml.

WB Suggested Anti-PCK1 Antibody, Positive Control: Lane 1: 80 ug pig serum, Primary Antibody Dilution: 1:1000, Secondary Antibody: Anti-rabbit-HRP, Secondry Antibody Dilution: 1:1000.

WB Suggested Anti-PCK1 Antibody, Positive Control: Lane 1: 80 ug pig serum protein, Primary Antibody Dilution: 1:1000, Secondary Antibody: Anti-rabbit-HRP, Secondry Antibody Dilution: 1:500.

WB Suggested Anti-PCK1 Antibody Titration: 0.2-1 ug/ml, ELISA Titer: 1:1562500, Positive Control: Jurkat cell lysate.
Documents Download
Request a Document
PCK1 Rabbit Polyclonal Antibody (orb574390)
Participating in our Biorbyt product reviews program enables you to support fellow scientists by sharing your firsthand experience with our products.
Login to Submit a Review

















