You have no items in your shopping cart.
PCNA Antibody (C-term)
Description
Research Area
Images & Validation
−| Tested Applications | IHC-P, WB |
|---|---|
| Dilution Range | WB - 1:2000, IHC-P - 1:100-500, IHC - 1:2000 |
| Reactivity | Human, Mouse, Rat |
| Predicted Reactivity | Hamster |
Key Properties
−| Antibody Type | Primary Antibody |
|---|---|
| Host | Mouse |
| Clonality | Monoclonal |
| Isotype | IgG1 |
| Molecular Weight | 28769 Da |
| Conjugation | Unconjugated |
Storage & Handling
−| Storage | Maintain refrigerated at 2-8°C for up to 2 weeks. For long term storage store at -20°C in small aliquots to prevent freeze-thaw cycles |
|---|---|
| Form/Appearance | Purified monoclonal antibody supplied in PBS with 0.09% (W/V) sodium azide. This antibody is purified through a protein G column, followed by dialysis against PBS. |
| Expiration Date | 12 months from date of receipt. |
| Disclaimer | For research use only |
Similar Products
−PCNA Antibody (C-term) [orb1931414]
IF, IHC-P, WB
Bovine, Hamster, Monkey, Rat
Human
Rabbit
Polyclonal
Unconjugated
100 μl, 50 μlPCNA Mouse Monoclonal Antibody [orb1474009]
IHC, WB
Human, Mouse, Rat
Mouse
Monoclonal
Unconjugated
200 μl, 100 μl, 50 μl, 30 μl

Quality Guarantee
Explore bioreagents carefree to elevate your research. All our products are rigorously tested for performance. If a product does not perform as described on its datasheet, our scientific support team will provide expert troubleshooting, a prompt replacement, or a refund. For full details, please see our Terms & Conditions and Buying Guide. Contact us at support@biorbyt.com.

All lanes: Anti-PCNA Antibody (C-term) at 1:1000 dilution (upper) Lane 1: Hela Lane 2: Hela-Knockout Lysates/proteins at 20 µg per lane. Secondary Goat Anti-Mouse IgG, (H+L), Peroxidase conjugated at 1/8000 dilution. Predicted band size: 34 kDa

Immunohistochemical analysis of paraffin-embedded Human Ovarian cancer section using Pink1. Diluted at 1:2000 dilution. A undiluted biotinylated goat polyvalent antibody was used as the secondary, followed by DAB staining.

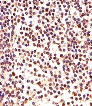
Immunohistochemical analysis of paraffin-embedded H. lymph section using PCNA Antibody (C-term). Diluted at 1:25 dilution. A undiluted biotinylated goat polyvalent antibody was used as the secondary, followed by DAB staining.

All lanes: Anti-PCNA Antibody (C-term) at 1:2000 dilution + C2C12 whole cell lysate. Lysates/proteins at 20 µg per lane. Secondary Goat Anti-Mouse IgG, (H+L), Peroxidase conjugated at 1/15000 dilution.Observed band size: 34KDa. Blocking/Dilution buffer: 5% NFDM/TBST.

All lanes: Anti-PCNA Antibody (C-term) at 1:2000 dilution. Lane 1: C2C12 whole cell lysate. Lane 2: C6 whole cell lysate. Lane 3: Hela whole cell lysate. Lane 4: L929 whole cell lysate. Lane 5: MCF-7 whole cell lysate. Lysates/proteins at 20 µg per lane. Secondary Goat Anti-mouse IgG, (H+L), Peroxidase conjugated at 1/10000 dilution. Predicted band size: 29 kDa. Blocking/Dilution buffer: 5% NFDM/TBST.

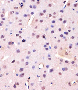
Staining PCNA in Rat brain tissue sections by Immunohistochemistry (IHC-P - paraformaldehyde-fixed, paraffin-embedded sections). Tissue was fixed with formaldehyde and blocked with 3% BSA for 0.5 hour at room temperature; antigen retrieval was by heat mediation with a citrate buffer (pH6). Samples were incubated with primary antibody (1/25) for 1 hours at 37°C. A undiluted biotinylated goat polyvalent antibody was used as the secondary antibody.
Quick Database Links
UniProt Details
−Documents Download
Request a Document
Protocol Information
PCNA Antibody (C-term) (orb1927275)
Participating in our Biorbyt product reviews program enables you to support fellow scientists by sharing your firsthand experience with our products.
Login to Submit a Review








