You have no items in your shopping cart.
PCNA
Description
Images & Validation
−| Tested Applications | FC, IHC, WB |
|---|---|
| Dilution Range | WB: 1/500 - 1/2000; IHC: 1/100 - 1/500; FCM: 1/200 - 1/400; ELISA: 1/10000 |
| Reactivity | Human, Monkey, Mouse, Rabbit, Rat |
Key Properties
−| Host | Mouse |
|---|---|
| Clonality | Monoclonal |
| Isotype | Mouse IgG1 |
| Clone No. | 7H4F8 |
| Immunogen | Purified recombinant fragment of human PCNA (AA: 53-196 ) expressed in E. Coli. |
| Target | Disease |
| Molecular Weight | 28.7kDa |
| Conjugation | Unconjugated |
Storage & Handling
−| Storage | Maintain refrigerated at 2-8°C for up to 2 weeks. For long term storage store at -20°C in small aliquots to prevent freeze-thaw cycles. |
|---|---|
| Buffer/Preservatives | Ascitic fluid containing 0.03% sodium azide. |
| Concentration | 1mg/ml |
| Expiration Date | 12 months from date of receipt. |
| Disclaimer | For research use only |
Similar Products
−PCNA Rabbit Polyclonal Antibody [orb11250]
FC, IF, IHC-Fr, IHC-P, WB
Bovine
Human, Mouse, Rat
Rabbit
Polyclonal
Unconjugated
100 μl, 200 μl, 50 μlPCNA Mouse Monoclonal Antibody (Nuclear Loading Control) [orb500831]
FC, IF, IHC-Fr, IHC-P, WB
Mouse, Rat
Human, Mouse, Rat
Mouse
Monoclonal
Unconjugated
1 ml, 100 μl, 500 μl, 200 μlPCNA Recombinant Rabbit Monoclonal Antibody (Nuclear Loading Control) [orb612208]
FC, ICC, IF, IHC-Fr, IHC-P, WB
Mouse, Rat
Human, Mouse, Rat
Rabbit
Recombinant
Unconjugated
25 μl, 100 μl, 50 μlPCNA Rabbit Polyclonal Antibody [orb2563530]
IF, IHC-Fr, IHC-P, WB
Mouse, Rat
Human, Mouse, Rat
Rabbit
Polyclonal
Unconjugated
50 μl, 100 μl, 200 μlPCNA Rabbit Polyclonal Antibody [orb570401]
ELISA, FC, ICC, IF, IHC, WB
Human, Mouse, Rat
Rabbit
Polyclonal
Unconjugated
100 μg

Quality Guarantee
Explore bioreagents carefree to elevate your research. All our products are rigorously tested for performance. If a product does not perform as described on its datasheet, our scientific support team will provide expert troubleshooting, a prompt replacement, or a refund. For full details, please see our Terms & Conditions and Buying Guide. Contact us at support@biorbyt.com.

Western blot analysis of A431 (Lane 1), HEK293 (Lane 2), HeLa (Lane 3), HepG2 (Lane 4), Raji (Lane 5), MOLT4 (Lane 6), COS7 (Lane 7), MCF-7 (Lane 8) cell lysate using PCNA antibody

Line graph illustrates about the Ag-Ab reactions using different concentrations of antigen and serial dilutions of PCNA antibody

Flow cytometric analysis of MOLT4 cells lysates using PCNA antibody

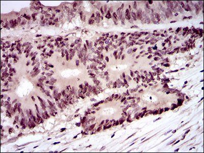
Immunohistochemical analysis of formalin-fixed and paraffin-embedded cervical cancer tissues using PCNA antibody

Immunohistochemical analysis of formalin-fixed and paraffin-embedded colon cancer tissues using PCNA antibody

Western blot analysis of human PCNA using PCNA antibody

Western blot analysis of HEK293 (Lane 1) HEK293 (Lane 2) cell lysate using PCNA antibody
Documents Download
Request a Document
Protocol Information
PCNA (orb197875)
Participating in our Biorbyt product reviews program enables you to support fellow scientists by sharing your firsthand experience with our products.
Login to Submit a Review













































































