You have no items in your shopping cart.
PDF Antibody
Description
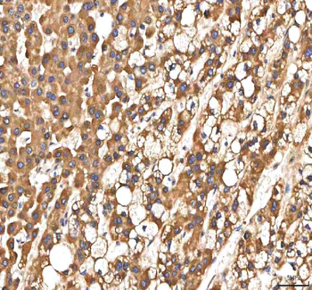
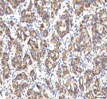
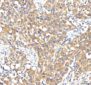
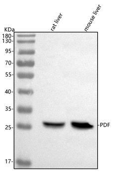
Images & Validation
−| Tested Applications | FC, IF, WB |
|---|---|
| Dilution Range | WB 1:500~2000, IF 1:100, FLOW 1:100 |
| Reactivity | Human |
Key Properties
−| Host | Mouse |
|---|---|
| Clonality | Monoclonal |
| Isotype | IgG2b |
| Immunogen | Full length human recombinant protein of human PDF (NP_071736) produced in E.coli. |
| Target | |
| Purification | Purified from mouse ascites fluids or tissue culture supernatant by affinity chromatography (protein A/G) |
| Conjugation | Unconjugated |
Storage & Handling
−| Storage | Maintain refrigerated at 2-8°C for up to 2 weeks. For long term storage store at -20°C in small aliquots to prevent freeze-thaw cycles. |
|---|---|
| Buffer/Preservatives | PBS (PH 7.3) containing 1% rAlbumin, 50% glycerol and 0.02% sodium azide. |
| Expiration Date | 12 months from date of receipt. |
| Disclaimer | For research use only |
Alternative Names
−Similar Products
−PDF Rabbit Polyclonal Antibody [orb1819412]
ELISA, FC, IF, IHC, WB
Human, Mouse, Rat
Rabbit
Polyclonal
Unconjugated
100 μgHuman Growth Differentiation Factor 15 (GDF15) ELISA Kit [orb776620]
Human
0.16-10 ng/mL
0.053 ng/mL
96 T, 48 TRat Growth Differentiation Factor 15 (GDF15) ELISA Kit [orb779618]
Rat
15.63-1000 pg/mL
6 pg/mL
96 T, 48 T

Quality Guarantee
Explore bioreagents carefree to elevate your research. All our products are rigorously tested for performance. If a product does not perform as described on its datasheet, our scientific support team will provide expert troubleshooting, a prompt replacement, or a refund. For full details, please see our Terms & Conditions and Buying Guide. Contact us at support@biorbyt.com.

Western blot analysis of HEK293T cells were transfected with the pCMV6-ENTRY control ( Left lane) or pCMV6-ENTRY PDF ( Right lane) using PDF antibody
Quick Database Links
Documents Download
Request a Document
Protocol Information
PDF Antibody (orb1323192)
Participating in our Biorbyt product reviews program enables you to support fellow scientists by sharing your firsthand experience with our products.
Login to Submit a Review

















