You have no items in your shopping cart.
PENK Antibody (Center)
Description
Research Area
Images & Validation
−| Tested Applications | FC, IHC-P, WB |
|---|---|
| Dilution Range | WB: 1:1000, IHC-P: 1:50~100, FC: 1:10~50 |
| Reactivity | Human |
Key Properties
−| Antibody Type | Primary Antibody |
|---|---|
| Host | Rabbit |
| Clonality | Polyclonal |
| Isotype | Rabbit IgG |
| Clone No. | RB22901 |
| Immunogen | Synthetic Peptide |
| Target | PENK |
| Molecular Weight | 30787 |
| Conjugation | Unconjugated |
Storage & Handling
−| Storage | Maintain refrigerated at 2-8°C for up to 2 weeks. For long term storage store at -20°C in small aliquots to prevent freeze-thaw cycles |
|---|---|
| Form/Appearance | Purified polyclonal antibody supplied in PBS with 0.09% (W/V) sodium azide. This antibody is purified through a protein A column, followed by peptide affinity purification. |
| Expiration Date | 12 months from date of receipt. |
| Disclaimer | For research use only |
Alternative Names
−Similar Products
−
Quality Guarantee
Explore bioreagents carefree to elevate your research. All our products are rigorously tested for performance. If a product does not perform as described on its datasheet, our scientific support team will provide expert troubleshooting, a prompt replacement, or a refund. For full details, please see our Terms & Conditions and Buying Guide. Contact us at support@biorbyt.com.

PENK Antibody (Center) flow cytometric analysis of T47D cells (right histogram) compared to a negative control cell (left histogram). FITC-conjugated goat-anti-rabbit secondary antibodies were used for the analysis.

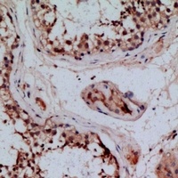
PENK antibody (Center) immunohistochemistry analysis in formalin fixed and paraffin embedded brain tissue followed by peroxidase conjugation of the secondary antibody and DAB staining. This data demonstrates the use of the PENK antibody (Center) for immunohistochemistry. Clinical relevance has not been evaluated.

PENK Antibody (Center) western blot analysis in T47D cell line lysates (35 ug/lane). This demonstrates the PENK antibody detected the PENK protein (arrow).
Quick Database Links
UniProt Details
−NCBI Reference Sequences
−| Protein | NP_001129162.1, NP_006202.1 |
|---|
Documents Download
Request a Document
Protocol Information
PENK Antibody (Center) (orb1430139)
Participating in our Biorbyt product reviews program enables you to support fellow scientists by sharing your firsthand experience with our products.
Login to Submit a Review

