You have no items in your shopping cart.
PER3 Antibody
Description
Images & Validation
−| Tested Applications | FC, ICC, IHC |
|---|---|
| Dilution Range | IHC: 1/200 - 1/1000; IF/ICC: 1/200 - 1/1000; FCM: 1/200 - 1/400; ELISA: 1/10000 |
| Reactivity | Human |
Key Properties
−| Antibody Type | Primary Antibody |
|---|---|
| Host | Mouse |
| Clonality | Monoclonal |
| Isotype | Mouse IgG2b |
| Clone No. | 4B9D7 |
| Immunogen | Purified recombinant fragment of human PER3 (AA: 723-954) expressed in E. Coli. |
| Target | Disease |
| Molecular Weight | 132kDa |
| Conjugation | Unconjugated |
Storage & Handling
−| Storage | Maintain refrigerated at 2-8°C for up to 2 weeks. For long term storage store at -20°C in small aliquots to prevent freeze-thaw cycles. |
|---|---|
| Buffer/Preservatives | Purified antibody in PBS with 0.05% sodium azide. |
| Concentration | Approximately 1mg/ml (varies from batch to batch). Please inquire for precise concentration. |
| Expiration Date | 12 months from date of receipt. |
| Disclaimer | For research use only |
Alternative Names
−Similar Products
−PER-3 Rabbit Polyclonal Antibody [orb185892]
IF, IHC-Fr, IHC-P
Rat
Human, Mouse
Rabbit
Polyclonal
Unconjugated
50 μl, 100 μl, 200 μlPER3 Rabbit Polyclonal Antibody [orb629814]
ELISA, IF, IHC, WB
Human, Mouse, Rat
Rabbit
Polyclonal
Unconjugated
50 μg, 100 μgPER3 Rabbit Polyclonal Antibody [orb575146]
WB
Canine, Equine, Mouse, Porcine, Rat, Sheep, Zebrafish
Human
Rabbit
Polyclonal
Unconjugated
100 μl

Quality Guarantee
Explore bioreagents carefree to elevate your research. All our products are rigorously tested for performance. If a product does not perform as described on its datasheet, our scientific support team will provide expert troubleshooting, a prompt replacement, or a refund. For full details, please see our Terms & Conditions and Buying Guide. Contact us at support@biorbyt.com.

Western blot analysis of HEK293 using PER3 antibody

ELISA Black line: Control Antigen (100 ng); Purple line: Antigen(10ng); Blue line: Antigen (50 ng); Red line: Antigen (100 ng)

Flow cytometric analysis of Hela cells using PER3 antibody

Immunofluorescence analysis of Hela cells using PER3 antibody

Immunohistochemical analysis of formalin-fixed and paraffin-embedded ovarian cancer tissues using PER3 antibody

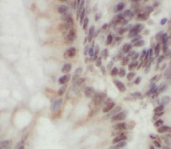
Immunohistochemical analysis of formalin-fixed and paraffin-embedded rectum cancer tissues using PER3 antibody

Western blot analysis of human recombinant protein using PER3 antibody
Documents Download
Request a Document
Protocol Information
PER3 Antibody (orb229810)
Participating in our Biorbyt product reviews program enables you to support fellow scientists by sharing your firsthand experience with our products.
Login to Submit a Review








