You have no items in your shopping cart.
PGBD5 Antibody
SKU: orb1277465
Description
Research Area
Epigenetics
Images & Validation
−
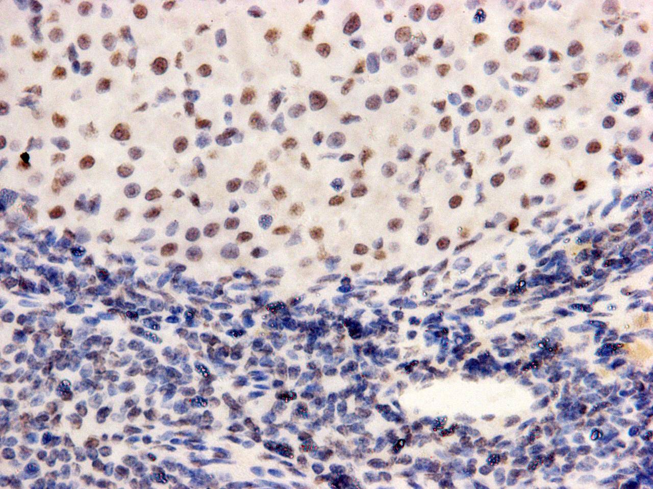
| Tested Applications | IHC |
|---|---|
| Dilution Range | IHC: 1/25-1/100; ELISA: 1/2000-1/5000 |
| Reactivity | Human |
Key Properties
−| Antibody Type | Primary Antibody |
|---|---|
| Host | Rabbit |
| Clonality | Polyclonal |
| Isotype | Rabbit IgG |
| Immunogen | Synthetic peptide of human PGBD5 |
| Target | PGBD5 |
| Conjugation | Unconjugated |
Storage & Handling
−| Storage | Maintain refrigerated at 2-8°C for up to 2 weeks. For long term storage store at -20°C in small aliquots to prevent freeze-thaw cycles. |
|---|---|
| Buffer/Preservatives | Purified antibody in PBS with 0.05% sodium azide and 50% glycerol. |
| Concentration | Approximately 1mg/ml (varies from batch to batch). Please inquire for precise concentration. |
| Expiration Date | 12 months from date of receipt. |
| Disclaimer | For research use only |
Similar Products
−PGBD5 Rabbit Polyclonal Antibody [orb389313]
ICC, IF, IHC-P, WB
Guinea pig, Mouse, Rat
Rabbit
Polyclonal
Unconjugated
100 μgPGBD5 Rabbit Polyclonal Antibody (FITC) [orb399877]
ICC, IF
Human, Mouse, Rat
Rabbit
Polyclonal
FITC
100 μg

Quality Guarantee
Explore bioreagents carefree to elevate your research. All our products are rigorously tested for performance. If a product does not perform as described on its datasheet, our scientific support team will provide expert troubleshooting, a prompt replacement, or a refund. For full details, please see our Terms & Conditions and Buying Guide. Contact us at support@biorbyt.com.
Quick Database Links
UniProt Details
− No UniProt data available
NCBI Reference Sequences
−Associated Accession Numbers
Curated reference sequences for the gene transcript and protein product| Protein | NP_001245240 |
|---|
Documents Download
Datasheet
Product Information
Request a Document
PGBD5 Antibody (orb1277465)
Based on 0 reviews
Participating in our Biorbyt product reviews program enables you to support fellow scientists by sharing your firsthand experience with our products.
Login to Submit a Review










