You have no items in your shopping cart.
PGBD5 Rabbit Polyclonal Antibody
Description
Images & Validation
−| Tested Applications | ICC, IF, IHC-P, WB |
|---|---|
| Dilution Range | WB: 1:100-1500, IHC-P: 1:100-500, IF/ICC: 1:100-500 |
| Reactivity | Guinea pig, Mouse, Rat |
Key Properties
−| Host | Rabbit |
|---|---|
| Clonality | Polyclonal |
| Isotype | IgG |
| Immunogen | KLH conjugated synthetic peptide derived from human PGBD5. Please contact us for the exact immunogen sequence. The peptide is available as orb13451. |
| Target | PGBD5 |
| Molecular Weight | 51 kDa |
| Purity | Polyclonal antibodies are purified by peptide affinity chromatography |
| Conjugation | Unconjugated |
Storage & Handling
−| Storage | Maintain refrigerated at 2-8°C for up to 2 weeks. For long term storage store at -20°C in small aliquots to prevent freeze-thaw cycles. |
|---|---|
| Form/Appearance | 10 mM PBS, 0.02% sodium azide |
| Concentration | - 100 μg (in 200 μl): 0.5 mg/ml- 200 μg (in 400 μl): 0.5 mg/ml |
| Expiration Date | 12 months from date of receipt. |
| Disclaimer | For research use only |
Similar Products
−PGBD5 Rabbit Polyclonal Antibody (FITC) [orb399877]
ICC, IF
Human, Mouse, Rat
Rabbit
Polyclonal
FITC
100 μgPGBD5 Rabbit Polyclonal Antibody [orb3070758]
WB
Human, Mouse
Rabbit
Polyclonal
Unconjugated
200 μl, 100 μl, 50 μl, 30 μlPGBD5 Antibody [orb1277465]
IHC
Human
Rabbit
Polyclonal
Unconjugated

Quality Guarantee
Explore bioreagents carefree to elevate your research. All our products are rigorously tested for performance. If a product does not perform as described on its datasheet, our scientific support team will provide expert troubleshooting, a prompt replacement, or a refund. For full details, please see our Terms & Conditions and Buying Guide. Contact us at support@biorbyt.com.

IHC-P image of rat spleen tissue using anti-PGBD5 (2.5 ug/ml)

IHC-P image of rat lipocyte tissue using PGBD5 antibody (2.5 ug/ml)

IF analysis of rat spleen tissue using anti-PGBD5 (2.5 ug/ml)

Immunohistochemical staining of rat heart tissue using anti-PGBD5 (2.5 ug/ml)

WB analysis of mouse heart (lane 1), rat spleen (lane 2), rat skin (lane 3), rat lipocyte (lane 4), mouse testis (lane 5), rat brain (lane 6) using PGBD5 antibody (1 ug/ml)

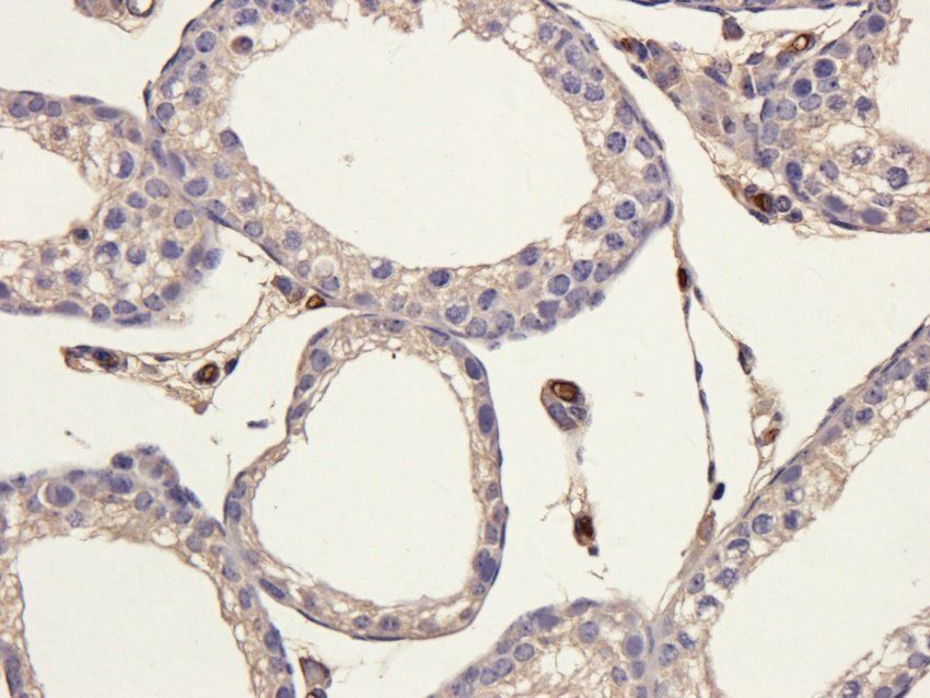
IHC-P image of guinea pig testis tissue using anti-PGBD5 (2.5 ug/ml)
Documents Download
Request a Document
Protocol Information
PGBD5 Rabbit Polyclonal Antibody (orb389313)
Participating in our Biorbyt product reviews program enables you to support fellow scientists by sharing your firsthand experience with our products.
Login to Submit a Review