You have no items in your shopping cart.
PGK1 Antibody (Center)
Description
Research Area
Images & Validation
−| Tested Applications | FC, IF, IHC-P, WB |
|---|---|
| Dilution Range | IHC-P - 1:100-500, WB - 1:1000, IF - 1:10-50, FC - 1:10-50 |
| Reactivity | Human, Mouse, Rat |
| Predicted Reactivity | Monkey |
Key Properties
−| Host | Rabbit |
|---|---|
| Clonality | Polyclonal |
| Isotype | Rabbit IgG |
| Molecular Weight | 44615 Da |
| Conjugation | Unconjugated |
Storage & Handling
−| Storage | Maintain refrigerated at 2-8°C for up to 2 weeks. For long term storage store at -20°C in small aliquots to prevent freeze-thaw cycles |
|---|---|
| Form/Appearance | Purified polyclonal antibody supplied in PBS with 0.09% (W/V) sodium azide. This antibody is prepared by Saturated Ammonium Sulfate (SAS) precipitation followed by dialysis against PBS. |
| Expiration Date | 12 months from date of receipt. |
| Disclaimer | For research use only |
Alternative Names
−Similar Products
−PGK1 Antibody (Center S320) [orb1939493]
IHC-P, WB
Monkey
Human, Mouse, Rat
Rabbit
Polyclonal
Unconjugated
100 μl, 50 μlPGK1 Mouse Monoclonal Antibody [orb1474128]
FC, IHC, WB
Human, Mouse
Mouse
Monoclonal
Unconjugated
200 μl, 50 μl, 100 μl, 30 μlPGK1 Antibody (Center S320) [orb2995922]
IHC-P, WB
Monkey, Rat
Human, Mouse
Rabbit
Polyclonal
Unconjugated
50 μl, 100 μlPGK1 Antibody (Center) [orb2995856]
FC, IF, IHC-P, WB
Monkey, Mouse
Human, Rat
Rabbit
Polyclonal
Unconjugated
50 μl, 100 μlPGK1/2 Rabbit Polyclonal Antibody [orb2988704]
WB
Human, Mouse, Rat
Rabbit
Polyclonal
Unconjugated
200 μl, 100 μl, 50 μl, 30 μl

Quality Guarantee
Explore bioreagents carefree to elevate your research. All our products are rigorously tested for performance. If a product does not perform as described on its datasheet, our scientific support team will provide expert troubleshooting, a prompt replacement, or a refund. For full details, please see our Terms & Conditions and Buying Guide. Contact us at support@biorbyt.com.

PGK1 Antibody (Center) flow cytometric analysis of Hela cells (right histogram) compared to a negative control cell (left histogram). FITC-conjugated goat-anti-rabbit secondary antibodies were used for the analysis.

Confocal immunofluorescent analysis of PGK1 Antibody (Center) with Hela cell followed by Alexa Fluor 488-conjugated goat anti-rabbit lgG (green). DAPI was used to stain the cell nuclear (blue).

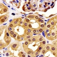
Immunohistochemical analysis of paraffin-embedded H. kidney section using PGK1 Antibody (Center). Diluted at 1:100 dilution. A peroxidase-conjugated goat anti-rabbit IgG at 1:400 dilution was used as the secondary antibody, followed by DAB staining.

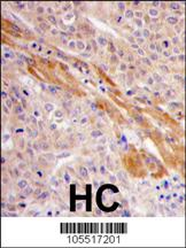
Formalin-fixed and paraffin-embedded human hepatocarcinoma tissue reacted with PGK1 antibody (Center), which was peroxidase-conjugated to the secondary antibody, followed by DAB staining. This data demonstrates the use of this antibody for immunohistochemistry; clinical relevance has not been evaluated.

Western blot analysis of lysates from Hela, U-937 cell line (from left to right), using PGK1 Antibody (G132). Diluted at 1:1000 at each lane. A goat anti-rabbit IgG H&L (HRP) at 1:5000 dilution was used as the secondary antibody. Lysates at 35 ug per lane.
Quick Database Links
UniProt Details
−Documents Download
Request a Document
Protocol Information
PGK1 Antibody (Center) (orb1929564)
Participating in our Biorbyt product reviews program enables you to support fellow scientists by sharing your firsthand experience with our products.
Login to Submit a Review




