You have no items in your shopping cart.
PGP9.5 / UchL1 Antibody
Description
Research Area
Images & Validation
−| Tested Applications | IHC-P, WB |
|---|---|
| Dilution range | Western blot: 1-2ug/ml,Immunohistochemistry (FFPE): 1-2ug/ml |
| Reactivity | Human, Rat |
| Application Notes |
Key Properties
−| Antibody Type | Primary Antibody |
|---|---|
| Host | Mouse |
| Clonality | Monoclonal |
| Isotype | Mouse IgG1, kappa |
| Clone No. | UCHL1/4558 |
| Immunogen | KLH conjugated synthetic peptide selected from the 185-214 region of human UCHL1 was used as the immunogen for the PGP9.5 antibody. |
| Purification | Protein A/G affinity |
| Conjugation | Unconjugated |
Storage & Handling
−| Storage | Maintain refrigerated at 2-8°C for up to 2 weeks. For long term storage store at -20°C in small aliquots to prevent freeze-thaw cycles. |
|---|---|
| Disclaimer | For research use only |
Similar Products
−PGP9.5/UCHL1 Antibody [orb334572]
FC, ICC, IF, IHC, WB
Human, Mouse, Rat
Rabbit
Polyclonal
Unconjugated
100 μg

Quality Guarantee
Explore bioreagents carefree to elevate your research. All our products are rigorously tested for performance. If a product does not perform as described on its datasheet, our scientific support team will provide expert troubleshooting, a prompt replacement, or a refund. For full details, please see our Terms & Conditions and Buying Guide. Contact us at support@biorbyt.com.

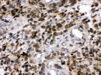
IHC staining of FFPE human cerebellum tissue with PGP9.5 antibody (clone UCHL1/4558). HIER: boil tissue sections in pH9 10mM Tris with 1mM EDTA for 20 min and allow to cool before testing.

IHC staining of FFPE human cerebellum tissue with PGP9.5 antibody (clone UCHL1/4558). HIER: boil tissue sections in pH9 10mM Tris with 1mM EDTA for 20 min and allow to cool before testing.

SDS-PAGE analysis of purified, BSA-free PGP9.5 antibody (clone UCHL1/4558) as confirmation of integrity and purity.

Analysis of HuProt (TM) microarray containing more than 19000 full-length human proteins using PGP9.5 antibody (clone UCHL1/4558). These results demonstrate the foremost specificity of the UCHL1/4558 mAb. Z- and S- score: The Z-score represents the strength of a signal that an antibody (in combination with a fluorescently-tagged anti-IgG secondary Ab) produces when binding to a particular protein on the HuProt (TM) array. Z-scores are described in units of standard deviations (SD's) above the mean value of all signals generated on that array. If the targets on the HuProt (TM) are arranged in descending order of the Z-score, the S-score is the difference (also in units of SD's) between the Z-scores. The S-score therefore represents the relative target specificity of an Ab to its intended target.

Western blot testing of human brain tissue and T98G cell lysates using PGP9.5 antibody (clone UCHL1/4558). Predicted molecular weight ~25 kDa.
Quick Database Links
UniProt Details
−Documents Download
Request a Document
Protocol Information
PGP9.5 / UchL1 Antibody (orb1151552)
Participating in our Biorbyt product reviews program enables you to support fellow scientists by sharing your firsthand experience with our products.
Login to Submit a Review


















