You have no items in your shopping cart.
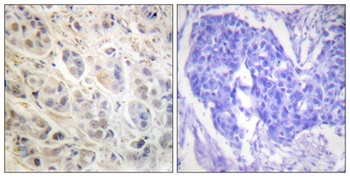
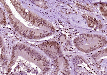
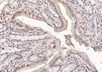
RPS6KA1 Antibody
Description
Research Area
Images & Validation
−
| Tested Applications | ELISA, IF, IP, WB |
|---|---|
| Dilution Range | WB: 1:500-1:5000, IF: 1:20-1:200, IP: 1:200-1:1000 |
| Reactivity | Human |
Key Properties
−| Antibody Type | Recombinant Antibody |
|---|---|
| Host | Rabbit |
| Clonality | Monoclonal |
| Isotype | Rabbit IgG |
| Clone No. | 1B6 |
| Immunogen | A synthesized peptide derived from human Phospho-RPS6KA1 (T359+S363) |
| Target | RPS6KA1 |
| Purification | Affinity-chromatography |
| Conjugation | Unconjugated |
Storage & Handling
−| Storage | Maintain refrigerated at 2-8°C for up to 2 weeks. For long term storage store at -20°C in small aliquots to prevent freeze-thaw cycles. |
|---|---|
| Form/Appearance | Liquid |
| Buffer/Preservatives | Rabbit IgG in phosphate buffered saline , pH 7.4, 150mM NaCl, 0.02% sodium azide and 50% glycerol. |
| Expiration Date | 12 months from date of receipt. |
| Disclaimer | For research use only |
Alternative Names
−Similar Products
−Phospho-RPS6KA1 (Ser380) Recombinant Rabbit Monoclonal Antibody [orb559128]
ICC, IF, IHC-Fr, IHC-P, WB
Mouse
Human, Mouse, Rat
Rabbit
Recombinant
Unconjugated
100 μl, 50 μlRsk-1 (phospho Ser380) rabbit pAb Antibody [orb769955]
ELISA, IF, IHC, WB
Human, Mouse, Rat
Polyclonal
Unconjugated
100 μl, 50 μlRsk-1 rabbit pAb Antibody [orb769958]
ELISA, IF, IHC, WB
Human, Mouse, Rat
Polyclonal
Unconjugated
100 μl, 50 μlHuman Ribosomal Protein S6 Kinase Alpha 1 (RPS6Ka1) ELISA Kit [orb780998]
Human
0.32-20 ng/mL
0.122 ng/mL
96 T, 48 TRPS6KA1 Rabbit Polyclonal Antibody [orb185890]
ICC, IF, IHC-Fr, IHC-P
Bovine, Canine, Equine, Porcine, Rabbit
Human, Mouse, Rat
Rabbit
Polyclonal
Unconjugated
50 μl, 100 μl, 200 μl

Quality Guarantee
Explore bioreagents carefree to elevate your research. All our products are rigorously tested for performance. If a product does not perform as described on its datasheet, our scientific support team will provide expert troubleshooting, a prompt replacement, or a refund. For full details, please see our Terms & Conditions and Buying Guide. Contact us at support@biorbyt.com.
Quick Database Links
UniProt Details
−Documents Download
Request a Document
Protocol Information
RPS6KA1 Antibody (orb572475)
Participating in our Biorbyt product reviews program enables you to support fellow scientists by sharing your firsthand experience with our products.
Login to Submit a Review

















