You have no items in your shopping cart.
PIK3R3 Recombinant Rabbit Monoclonal Antibody
Description
Research Area
Images & Validation
−| Tested Applications | IF, IHC-Fr, IHC-P, WB |
|---|---|
| Dilution Range | WB=1:500-2000, IHC-P=1:100-500, IHC-F=1:100-500, IF=1:100-500 |
| Reactivity | Human, Mouse, Rat |
| Predicted Reactivity | Mouse, Rat |
Key Properties
−| Antibody Type | Primary Antibody |
|---|---|
| Host | Rabbit |
| Clonality | Recombinant |
| Isotype | IgG |
| Clone No. | 19C18 |
| Immunogen | A synthesized peptide derived from human PI3 kinase p55 gamma (412-461/461aa) |
| Target | PIK3R3 |
| Molecular Weight | 54 kDa |
| Purification | Affinity purified by Protein A |
| Conjugation | Unconjugated |
Storage & Handling
−| Storage | Maintain refrigerated at 2-8°C for up to 2 weeks. For long term storage store at -20°C in small aliquots to prevent freeze-thaw cycles. |
|---|---|
| Form/Appearance | Liquid |
| Buffer/Preservatives | 0.01M TBS(pH7.4) with 1% rAlbumin, 0.02% Proclin300 and 50% Glycerol. |
| Expiration Date | 12 months from date of receipt. |
| Disclaimer | For research use only |
Alternative Names
−
Quality Guarantee
Explore bioreagents carefree to elevate your research. All our products are rigorously tested for performance. If a product does not perform as described on its datasheet, our scientific support team will provide expert troubleshooting, a prompt replacement, or a refund. For full details, please see our Terms & Conditions and Buying Guide. Contact us at support@biorbyt.com.

25 ug total protein per lane of various lysates probed with PIK3R3 monoclonal antibody, unconjugated (orb2563033) at 1:2000 dilution and 4°C overnight incubation. Followed by conjugated secondary antibody incubation at r.t. for 60 min.

Paraformaldehyde-fixed, paraffin embedded Human Cerebrum, Antigen retrieval by boiling in sodium citrate buffer (pH6.0) for 15 min, Antibody incubation with PIK3R3 Monoclonal Antibody, Unconjugated (orb2563033) at 1:200 overnight at 4°C, followed by conjugation to the SP Kit (Rabbit) and DAB staining.

Paraformaldehyde-fixed, paraffin embedded Human Kidney, Antigen retrieval by boiling in sodium citrate buffer (pH6.0) for 15 min, Antibody incubation with PIK3R3 Monoclonal Antibody, Unconjugated (orb2563033) at 1:200 overnight at 4°C, followed by conjugation to the SP Kit (Rabbit) and DAB staining.

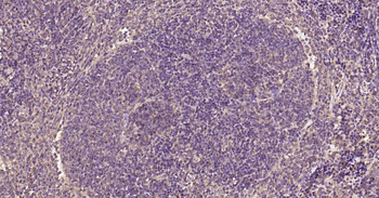
Paraformaldehyde-fixed, paraffin embedded Mouse Spleen, Antigen retrieval by boiling in sodium citrate buffer (pH6.0) for 15 min, Antibody incubation with PIK3R3 Monoclonal Antibody, Unconjugated (orb2563033) at 1:200 overnight at 4°C, followed by conjugation to the SP Kit (Rabbit) and DAB staining.

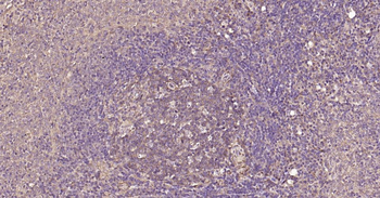
Paraformaldehyde-fixed, paraffin embedded Rat Spleen, Antigen retrieval by boiling in sodium citrate buffer (pH6.0) for 15 min, Antibody incubation with PIK3R3 Monoclonal Antibody, Unconjugated (orb2563033) at 1:200 overnight at 4°C, followed by conjugation to the SP Kit (Rabbit) and DAB staining.
Quick Database Links
Documents Download
Request a Document
Protocol Information
PIK3R3 Recombinant Rabbit Monoclonal Antibody (orb2563033)
Participating in our Biorbyt product reviews program enables you to support fellow scientists by sharing your firsthand experience with our products.
Login to Submit a Review