You have no items in your shopping cart.
Pin1 rabbit pAb Antibody
Description
Images & Validation
−| Tested Applications | ELISA, IF, IHC |
|---|---|
| Dilution Range | Immunohistochemistry: 1/100 - 1/300. Immunofluorescence: 1/200 - 1/1000. ELISA: 1/5000. Not yet tested in other applications. |
| Reactivity | Human, Mouse, Rat |
Key Properties
−| Clonality | Polyclonal |
|---|---|
| Isotype | IgG |
| Immunogen | The antiserum was produced against synthesized peptide derived from human Pin1. AA range:1-50 |
| Molecular Weight | 18kD |
| Purification | The antibody was affinity-purified from rabbit antiserum by affinity-chromatography using epitope-specific immunogen. |
| Conjugation | Unconjugated |
Storage & Handling
−| Storage | Maintain refrigerated at 2-8°C for up to 2 weeks. For long term storage store at -20°C in small aliquots to prevent freeze-thaw cycles. |
|---|---|
| Buffer/Preservatives | PBS with 0.02% sodium azide and 50% glycerol pH 7.4. |
| Concentration | 1 mg/ml |
| Expiration Date | 12 months from date of receipt. |
| Disclaimer | For research use only |
Alternative Names
−Similar Products
−Pin1 (phospho Ser16) rabbit pAb Antibody [orb769469]
ELISA, IF, IHC, WB
Human, Monkey, Mouse, Rat
Polyclonal
Unconjugated
100 μl, 50 μlMPP1 rabbit pAb Antibody [orb770943]
ELISA, IF, IHC
Human, Mouse, Rat
Polyclonal
Unconjugated
50 μl, 100 μlKIF20B Rabbit pAb, PE-Cy5 conjugated [orb2863548]
IF
Bovine, Canine, Equine, Human, Porcine, Rat, Sheep
Mouse
Rabbit
Polyclonal
PE/Cy5
100 μlKIF20B Rabbit pAb, PE-Cy5.5 conjugated [orb2863549]
IF
Bovine, Canine, Equine, Human, Porcine, Rat, Sheep
Mouse
Rabbit
Polyclonal
PE/Cy5.5
100 μlKIF20B Rabbit pAb, PE-Cy7 conjugated [orb2863550]
IF
Bovine, Canine, Equine, Human, Porcine, Rat, Sheep
Mouse
Rabbit
Polyclonal
PE/Cy7
100 μl

Quality Guarantee
Explore bioreagents carefree to elevate your research. All our products are rigorously tested for performance. If a product does not perform as described on its datasheet, our scientific support team will provide expert troubleshooting, a prompt replacement, or a refund. For full details, please see our Terms & Conditions and Buying Guide. Contact us at support@biorbyt.com.

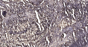
Immunohistochemical analysis of paraffin-embedded Human testis. 1, Antibody was diluted at 1:100 (4°C overnight). 2, High-pressure and temperature EDTA, pH8.0 was used for antigen retrieval. 3, Secondary antibody was diluted at 1:200 (room temperature, 30min).

Immunohistochemical analysis of paraffin-embedded Human testis. 1, Antibody was diluted at 1:100 (4°C overnight). 2, High-pressure and temperature EDTA, pH8.0 was used for antigen retrieval. 3, Secondary antibody was diluted at 1:200 (room temperature, 30min).

Immunohistochemical analysis of paraffin-embedded Human testis. 1, Antibody was diluted at 1:100 (4°C overnight). 2, High-pressure and temperature EDTA, pH8.0 was used for antigen retrieval. 3, Secondary antibody was diluted at 1:200 (room temperature, 30min).

Immunofluorescence analysis of NIH/3T3 cells, using Pin1 Antibody. The picture on the right is blocked with the synthesized peptide.
Documents Download
Request a Document
Protocol Information
Pin1 rabbit pAb Antibody (orb769470)
Participating in our Biorbyt product reviews program enables you to support fellow scientists by sharing your firsthand experience with our products.
Login to Submit a Review




