You have no items in your shopping cart.
PINK1 Antibody
Description
Research Area
Images & Validation
−| Tested Applications | ELISA, IHC, WB |
|---|---|
| Dilution range | WB: 1:500-1:2000; IHC: 1:50-1:500 |
| Reactivity | Human |
Key Properties
−| Antibody Type | Primary Antibody |
|---|---|
| Host | Rabbit |
| Clonality | Polyclonal |
| Isotype | IgG |
| Immunogen | PINK1 |
| Target | PINK1 |
| Molecular Weight | 30 kDa |
| Purity | ≥95% as determined by SDS-PAGE |
| Purification | Immunogen affinity purified |
| Conjugation | Unconjugated |
Storage & Handling
−| Storage | Maintain refrigerated at 2-8°C for up to 2 weeks. For long term storage store at -20°C in small aliquots to prevent freeze-thaw cycles. |
|---|---|
| Form/Appearance | liquid |
| Disclaimer | For research use only |
Alternative Names
−Similar Products
−PINK1 Rabbit Polyclonal Antibody [orb331223]
IHC, WB
Bovine, Equine, Guinea pig, Mouse, Rabbit, Rat
Human
Rabbit
Polyclonal
Unconjugated
100 μlPINK1 Antibody (Ascites) [orb1440457]
IHC-P, WB
Human, Mouse
Mouse
Monoclonal
Unconjugated
50 μl, 100 μlHuman Serine/threonine-protein kinase PINK1, Mitochondrial (PINK1) ELISA Kit [orb1736595]
Human
0.32-20 ng/mL
0.14 ng/mL
48 T, 96 TRabbit Human PINK1 (N-Terminal) Antibody [orb109580]
ELISA, IHC-P, WB
Human
Rabbit
Polyclonal
Unconjugated
100 μg

Quality Guarantee
Explore bioreagents carefree to elevate your research. All our products are rigorously tested for performance. If a product does not perform as described on its datasheet, our scientific support team will provide expert troubleshooting, a prompt replacement, or a refund. For full details, please see our Terms & Conditions and Buying Guide. Contact us at support@biorbyt.com.

Rat heart were subjected to SDS PAGE followed by western blot with orb633062 (PINK1 antibody) at dilution of 1:1000.

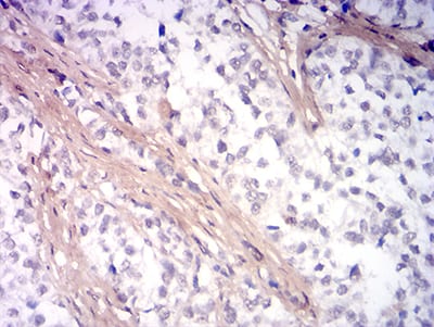
Immunohistochemistry of paraffin-embedded human intestinal cancer using orb633062 (PINK1 antibody) at dilution of 1:100.
Quick Database Links
UniProt Details
−Documents Download
Request a Document
Protocol Information
PINK1 Antibody (orb633062)
Participating in our Biorbyt product reviews program enables you to support fellow scientists by sharing your firsthand experience with our products.
Login to Submit a Review













