You have no items in your shopping cart.
PKR1 Polyclonal Antibody
Description
Research Area
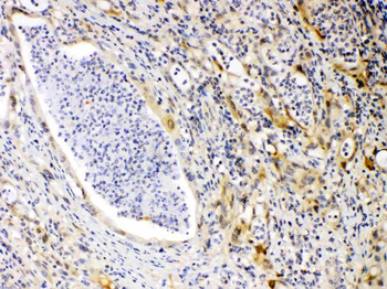
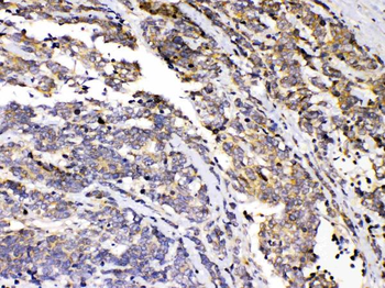
Images & Validation
−| Tested Applications | IF, WB |
|---|---|
| Dilution range | WB: Western Blot: 1/500 - 1/2000. Immunofluorescence: 1/200 - 1/1000. ELISA: 1/20000. Not yet tested in other applications. |
| Reactivity | Human, Mouse, Rat |
Key Properties
−| Host | Rabbit |
|---|---|
| Clonality | Polyclonal |
| Conjugation | Unconjugated |
Storage & Handling
−| Storage | Maintain refrigerated at 2-8°C for up to 2 weeks. For long term storage store at -20°C in small aliquots to prevent freeze-thaw cycles |
|---|---|
| Disclaimer | For research use only |
Alternative Names
−Similar Products
−PKA Iα reg rabbit pAb Antibody [orb766093]
ELISA, IF, IHC, WB
Human, Mouse, Rat
Polyclonal
Unconjugated
100 μl, 50 μlPKR1 rabbit pAb Antibody [orb766106]
ELISA, IF, IHC, WB
Human, Mouse, Rat
Polyclonal
Unconjugated
100 μl, 50 μlProtein Kinase A regulatory subunit I alpha/PRKAR1A Rabbit Polyclonal Antibody [orb389508]
IHC, WB
Human, Rat
Rabbit
Polyclonal
Unconjugated
100 μgGPR73a Antibody [orb315670]
IF, IHC, WB
Bovine, Human, Mouse, Rat
Rabbit
Polyclonal
Unconjugated
30 μl, 100 μl, 200 μl, 50 μlPRKAR1A Antibody [orb214438]
IF, IHC, WB
Bovine, Gallus, Human, Mouse, Porcine, Rat, Sheep
Rabbit
Polyclonal
Unconjugated
50 μl, 100 μl, 200 μl, 30 μl

Quality Guarantee
Explore bioreagents carefree to elevate your research. All our products are rigorously tested for performance. If a product does not perform as described on its datasheet, our scientific support team will provide expert troubleshooting, a prompt replacement, or a refund. For full details, please see our Terms & Conditions and Buying Guide. Contact us at support@biorbyt.com.


Quick Database Links
UniProt Details
−Documents Download
Request a Document
Protocol Information
PKR1 Polyclonal Antibody (orb1412477)
Participating in our Biorbyt product reviews program enables you to support fellow scientists by sharing your firsthand experience with our products.
Login to Submit a Review
















