You have no items in your shopping cart.
PLIN2 Antibody
Description
Images & Validation
−| Tested Applications | FC, ICC, IHC, WB |
|---|---|
| Dilution Range | WB: 1/500 - 1/2000; IHC: 1/200 - 1/1000; IF/ICC: 1/200 - 1/1000; FCM: 1/200 - 1/400; ELISA: 1/10000 |
| Reactivity | Human |
Key Properties
−| Antibody Type | Primary Antibody |
|---|---|
| Host | Mouse |
| Clonality | Monoclonal |
| Isotype | Mouse IgG1 |
| Clone No. | 2C5H8 |
| Immunogen | Purified recombinant fragment of human PLIN2 (AA: 286-437) expressed in E. Coli. |
| Target | PLIN2 |
| Molecular Weight | 48kDa |
| Conjugation | Unconjugated |
Storage & Handling
−| Storage | Maintain refrigerated at 2-8°C for up to 2 weeks. For long term storage store at -20°C in small aliquots to prevent freeze-thaw cycles. |
|---|---|
| Buffer/Preservatives | Purified antibody in PBS with 0.05% sodium azide |
| Concentration | Approximately 1mg/ml (varies from batch to batch). Please inquire for precise concentration. |
| Expiration Date | 12 months from date of receipt. |
| Disclaimer | For research use only |
Alternative Names
−Similar Products
−Rat Adipose Differentiation Related Protein (ADRP) ELISA Kit [orb781462]
Rat
1.57-100 ng/mL
0.55 ng/mL
48 T, 96 THuman Adipose Differentiation Related Protein (ADRP) ELISA Kit [orb775398]
Human
0.16-10 ng/mL
0.054 ng/mL
96 T, 48 TPLIN2 Antibody [orb387992]
ELISA, FC, WB
Human
Mouse
Monoclonal
Unconjugated
100 μg (without BSA and Azide), 20 μg, 100 μg

Quality Guarantee
Explore bioreagents carefree to elevate your research. All our products are rigorously tested for performance. If a product does not perform as described on its datasheet, our scientific support team will provide expert troubleshooting, a prompt replacement, or a refund. For full details, please see our Terms & Conditions and Buying Guide. Contact us at support@biorbyt.com.

Line graph illustrates about the Ag-Ab reactions using different concentrations of antigen and serial dilutions of PLIN2 antibody

Flow cytometric analysis of HepG2 cells lysates using PLIN2 antibody

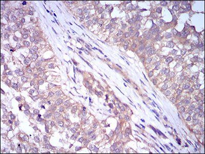
Immunohistochemical analysis of formalin-fixed and paraffin-embedded rectum cancer tissues using PLIN2 antibody

Immunohistochemical analysis of formalin-fixed and paraffin-embedded bladder cancer tissues using PLIN2 antibody

Western blot analysis of human PLIN2 using PLIN2 antibody

Western blot analysis of HEK293 (Lane 1) HEK293 (Lane 2) cell lysate using PLIN2 antibody

Western blot analysis of HepG2 cell lysate using PLIN2 antibody
Documents Download
Request a Document
Protocol Information
PLIN2 Antibody (orb153528)
Participating in our Biorbyt product reviews program enables you to support fellow scientists by sharing your firsthand experience with our products.
Login to Submit a Review











