You have no items in your shopping cart.
POGK Antibody
Description
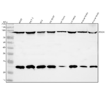
Images & Validation
−| Tested Applications | FC, IF, WB |
|---|---|
| Dilution Range | WB 1:2000, IF 1:100, FLOW 1:100 |
| Reactivity | Human, Mouse, Rat |
Key Properties
−| Host | Mouse |
|---|---|
| Clonality | Monoclonal |
| Isotype | IgG1 |
| Immunogen | Full length human recombinant protein of human POGK(NP_060012) produced in HEK293T cell. |
| Target | POGK |
| Purification | Purified from mouse ascites fluids or tissue culture supernatant by affinity chromatography (protein A/G) |
| Conjugation | Unconjugated |
Storage & Handling
−| Storage | Maintain refrigerated at 2-8°C for up to 2 weeks. For long term storage store at -20°C in small aliquots to prevent freeze-thaw cycles. |
|---|---|
| Buffer/Preservatives | Lyophilized powder (original buffer 1X PBS, pH 7.3, 8% trehalose) |
| Expiration Date | 12 months from date of receipt. |
| Disclaimer | For research use only |
Alternative Names
−Similar Products
−POGK Rabbit Polyclonal Antibody [orb1972558]
ELISA, FC, ICC, IF, WB
Human, Mouse, Rat
Rabbit
Polyclonal
Unconjugated
100 μg

Quality Guarantee
Explore bioreagents carefree to elevate your research. All our products are rigorously tested for performance. If a product does not perform as described on its datasheet, our scientific support team will provide expert troubleshooting, a prompt replacement, or a refund. For full details, please see our Terms & Conditions and Buying Guide. Contact us at support@biorbyt.com.

Western blot analysis of HEK293T cells were transfected with the pCMV6-ENTRY control (Left lane) or pCMV6-ENTRY POGK (Right lane) cDNA for 48 hrs and lysed using POGK antibody
Quick Database Links
Documents Download
Request a Document
Protocol Information
POGK Antibody (orb1334280)
Participating in our Biorbyt product reviews program enables you to support fellow scientists by sharing your firsthand experience with our products.
Login to Submit a Review





