You have no items in your shopping cart.
PRKCA Antibody
Description
Research Area
Images & Validation
−| Tested Applications | IF, IHC, IP, WB |
|---|---|
| Reactivity | Human, Mouse, Rat |
| Application Notes |
Key Properties
−| Antibody Type | Primary Antibody |
|---|---|
| Host | Rabbit |
| Clonality | Monoclonal |
| Isotype | IgG |
| Clone No. | [45F9] |
| Immunogen | Recombinant protein of human PRKCA |
| Target | PRKCA |
| Molecular Weight | Observed: 77kDa |
| Purification | Affinity purification |
| Conjugation | Unconjugated |
Storage & Handling
−| Storage | Maintain refrigerated at 2-8°C for up to 2 weeks. For long term storage store at -20°C in small aliquots to prevent freeze-thaw cycles. |
|---|---|
| Form/Appearance | Liquid |
| Buffer/Preservatives | PBS with 0.02% sodium azide, 50% glycerol, pH 7.3. |
| Concentration | batch dependent |
| Expiration Date | 12 months from date of receipt. |
| Disclaimer | For research use only |
Alternative Names
−Similar Products
−Phospho-PKC alpha (Thr638) Recombinant Rabbit Monoclonal Antibody [orb559135]
FC, ICC, IF, IHC-Fr, IHC-P, WB
Bovine, Equine, Gallus, Porcine
Human, Mouse, Rat
Rabbit
Recombinant
Unconjugated
50 μl, 100 μlPhospho-PRKCB (Thr642) Rabbit Polyclonal Antibody [orb6754]
FC, IF, IHC-Fr, IHC-P
Mouse, Rat
Human, Mouse, Rat
Rabbit
Polyclonal
Unconjugated
100 μl, 50 μl, 200 μlPKC Polyclonal Antibody [orb1412494]
IF, IHC-P, WB
Human, Mouse, Rat
Rabbit
Polyclonal
Unconjugated
100 μlMouse Prkca Antibody (N-term) [orb1935963]
FC, IHC-P, WB
Rat
Human, Mouse
Rabbit
Polyclonal
Unconjugated
100 μl, 50 μlPKC α (phospho Thr638) rabbit pAb Antibody [orb769637]
ELISA, IF, IHC, WB
Human, Mouse, Rat
Polyclonal
Unconjugated
100 μl, 50 μl

Quality Guarantee
Explore bioreagents carefree to elevate your research. All our products are rigorously tested for performance. If a product does not perform as described on its datasheet, our scientific support team will provide expert troubleshooting, a prompt replacement, or a refund. For full details, please see our Terms & Conditions and Buying Guide. Contact us at support@biorbyt.com.

Western blot analysis of extracts of various cell lines, using PRKCA antibody (orb1261306). Secondary antibody: HRP Goat Anti-Rabbit IgG (H+L) at 1:10000 dilution. Lysates/proteins: 25 ug per lane. Blocking buffer: 3% nonfat dry milk in TBST.

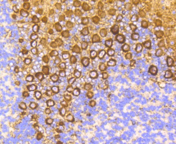
Immunohistochemistry of paraffin-embedded mouse brain using PRKCA antibody (orb1261306) at dilution of 1:100 (40x lens).

Immunohistochemistry of paraffin-embedded human lung using PRKCA antibody (orb1261306) at dilution of 1:100 (40x lens).

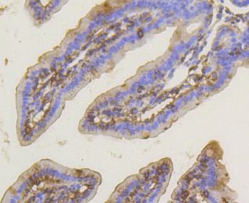
Immunohistochemistry of paraffin-embedded mouse intestin using PRKCA antibody (orb1261306) at dilution of 1:100 (40x lens).

Immunohistochemistry of paraffin-embedded mouse heart using PRKCA antibody (orb1261306) at dilution of 1:100 (40x lens).

Immunofluorescence analysis of CRC cells using PRKCA antibody (orb1261306).

Immunofluorescence analysis of A549 cells using PRKCA antibody (orb1261306).

Immunofluorescence analysis of HeLa cells using PRKCA antibody (orb1261306).

Immunofluorescence analysis of MCF-7 cells using PRKCA antibody (orb1261306).

Immunofluorescence analysis of A549 cells using Acetyl-Histone H2A-K9 antibody (orb1255246).
Quick Database Links
UniProt Details
−Documents Download
Request a Document
Protocol Information
PRKCA Antibody (orb1261306)
Participating in our Biorbyt product reviews program enables you to support fellow scientists by sharing your firsthand experience with our products.
Login to Submit a Review





























