You have no items in your shopping cart.
IF, IHC-P, WB
Human, Mouse, Rat
Rabbit
Polyclonal
Unconjugated
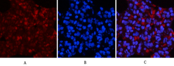
100 μl- NFκB-p65 (phospho Ser536) Polyclonal Antibody [orb1415341]
IF, IHC-P, IP, WB
Human, Mouse, Rat
Rabbit
Polyclonal
Unconjugated
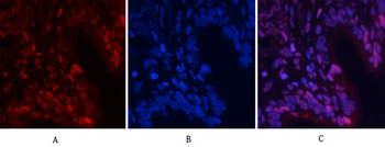
100 μl - NFκB-p65 (phospho Ser529) Polyclonal Antibody [orb1415343]
IF, IHC-P, WB
Human, Mouse, Rat
Rabbit
Polyclonal
Unconjugated
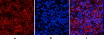
100 μl - Akt (phospho Ser473) Polyclonal Antibody [orb1415484]
IF, IHC-P, WB
Human, Mouse, Rat
Rabbit
Polyclonal
Unconjugated
100 μl - ERK 1/2 (phospho Tyr204) Polyclonal Antibody [orb1415416]
IF, IHC-P, WB
Human, Mouse, Rat
Rabbit
Polyclonal
Unconjugated
100 μl - ERK 1/2 (phospho Thr202) Polyclonal Antibody [orb1415417]
IF, IHC-P, WB
Human, Mouse, Rat
Rabbit
Polyclonal
Unconjugated
100 μl - CREB-1 (phospho Ser133) Polyclonal Antibody [orb1415436]
IF, IHC-P, IP, WB
Human, Mouse, Rat
Rabbit
Polyclonal
Unconjugated
100 μl - ERK 1/2 (phospho Tyr222/205) Polyclonal Antibody [orb1415176]
IF, IHC-P, WB
Human, Mouse, Rat
Rabbit
Polyclonal
Unconjugated
100 μl - CaMKIIβ/γ/δ (phospho Thr287) Polyclonal Antibody [orb1415005]
IF, IHC-P, WB
Human, Mouse, Rat
Rabbit
Polyclonal
Unconjugated
100 μl - p38 (phospho Thr180/Y182) Polyclonal Antibody [orb1415245]
IF, IHC-P, WB
Guinea pig, Human, Mouse, Rat
Rabbit
Polyclonal
Unconjugated
100 μl









