You have no items in your shopping cart.
Prohibitin Antibody / PHB
Description
Images & Validation
−| Tested Applications | IF, IHC-P, WB |
|---|---|
| Dilution Range | Western blot: 1-2ug/ml,Immunofluorescence: 1-2ug/ml,Immunohistochemistry (FFPE): 1-2ug/ml for 30 min at RT |
| Reactivity | Human |
| Application Notes |
Key Properties
−| Antibody Type | Primary Antibody |
|---|---|
| Host | Mouse |
| Clonality | Monoclonal |
| Isotype | Mouse IgG2b, kappa |
| Clone No. | PHB/3194 |
| Immunogen | A recombinant human partial protein corresponding to amino acids 167-261 was used as the immunogen for the Prohibitin antibody. |
| Purification | Protein G affinity chromatography |
| Conjugation | Unconjugated |
Storage & Handling
−| Storage | Maintain refrigerated at 2-8°C for up to 2 weeks. For long term storage store at -20°C in small aliquots to prevent freeze-thaw cycles. |
|---|---|
| Buffer/Preservatives | 1 mg/ml in 1X PBS; rAlbumin free, sodium azide free |
| Expiration Date | 12 months from date of receipt. |
| Disclaimer | For research use only |
Similar Products
−
Quality Guarantee
Explore bioreagents carefree to elevate your research. All our products are rigorously tested for performance. If a product does not perform as described on its datasheet, our scientific support team will provide expert troubleshooting, a prompt replacement, or a refund. For full details, please see our Terms & Conditions and Buying Guide. Contact us at support@biorbyt.com.

Immunofluorescence staining of human HepG2 cells with Prohibitin antibody (green, clone PHB/3194) and Reddot nuclear stain (red).

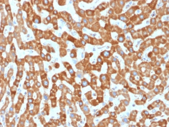
IHC testing of FFPE human liver tissue with Prohibitin antibody (clone PHB/3194). Required HIER: boil tissue sections in pH6, 10mM citrate buffer, for 10-20 min followed by cooling at RT for 20 min.

IHC testing of FFPE human liver tissue with Prohibitin antibody (clone PHB/3194). Required HIER: boil tissue sections in pH6, 10mM citrate buffer, for 10-20 min followed by cooling at RT for 20 min.

Analysis of HuProt (TM) microarray containing more than 19000 full-length human proteins using Prohibitin antibody (clone PHB/3194). These results demonstrate the foremost specificity of the PHB/3194 mAb. Z- and S- score: The Z-score represents the strength of a signal that an antibody (in combination with a fluorescently-tagged anti-IgG secondary Ab) produces when binding to a particular protein on the HuProt (TM) array. Z-scores are described in units of standard deviations (SD's) above the mean value of all signals generated on that array. If the targets on the HuProt (TM) are arranged in descending order of the Z-score, the S-score is the difference (also in units of SD's) between the Z-scores. The S-score therefore represents the relative target specificity of an Ab to its intended target.

SDS-PAGE analysis of purified, BSA-free Prohibitin antibody (clone PHB/3194) as confirmation of integrity and purity.

Western blot testing of human liver lysate with Prohibitin antibody (clone PHB/3194). Expected molecular weight ~30 kDa.
Quick Database Links
UniProt Details
−Documents Download
Request a Document
Protocol Information
Prohibitin Antibody / PHB (orb2642944)
Participating in our Biorbyt product reviews program enables you to support fellow scientists by sharing your firsthand experience with our products.
Login to Submit a Review


























