You have no items in your shopping cart.
Prostaglandin E synthase 2 antibody
Description
Images & Validation
−| Tested Applications | IHC-P, WB |
|---|---|
| Dilution Range | IHC-P: 1:100-500, WB: 1:100-2000 |
| Reactivity | Human, Mouse, Rat |
Key Properties
−| Host | Rabbit |
|---|---|
| Clonality | Polyclonal |
| Isotype | IgG |
| Immunogen | KLH conjugated synthetic peptide derived from human Prostaglandin E synthase 2. Please contact us for the exact immunogen sequence. The peptide is available as orb374788. |
| Target | Prostaglandin E synthase 2. Prostaglandin E synthase 2 antibody detects endogenous levels of total Prostaglandin E synthase 2 |
| Molecular Weight | 42 kDa |
| Purity | Polyclonal antibodies are purified by peptide affinity chromatography |
| Conjugation | Unconjugated |
Storage & Handling
−| Storage | Maintain refrigerated at 2-8°C for up to 2 weeks. For long term storage store at -20°C in small aliquots to prevent freeze-thaw cycles. |
|---|---|
| Form/Appearance | 10 mM PBS, 0.02% sodium azide |
| Concentration | - 100 μg (in 200 μl): 0.5 mg/ml- 200 μg (in 400 μl): 0.5 mg/ml |
| Expiration Date | 12 months from date of receipt. |
| Disclaimer | For research use only |
Alternative Names
−Similar Products
−PTGES2 Rabbit Polyclonal Antibody [orb1816848]
IF, IHC-Fr, IHC-P, WB
Bovine, Canine, Human, Porcine, Rabbit
Mouse, Rat
Rabbit
Polyclonal
Unconjugated
50 μl, 100 μl, 200 μlProstaglandin E synthase 2 antibody [orb191502]
ELISA, IHC-P, WB
Bovine, Canine, Gallus, Human, Mouse, Porcine, Rat
Rabbit
Polyclonal
Unconjugated
100 μgGoat anti-PTGES2 (aa292-306) Antibody [orb377872]
ELISA, IHC, WB
Human
Goat
Polyclonal
Unconjugated
100 μgPTGES2 Rabbit Polyclonal Antibody [orb500954]
FC
Bovine, Canine, Gallus, Mouse, Porcine, Rat
Human
Rabbit
Polyclonal
Unconjugated
50 μl, 100 μl, 200 μl

Quality Guarantee
Explore bioreagents carefree to elevate your research. All our products are rigorously tested for performance. If a product does not perform as described on its datasheet, our scientific support team will provide expert troubleshooting, a prompt replacement, or a refund. For full details, please see our Terms & Conditions and Buying Guide. Contact us at support@biorbyt.com.

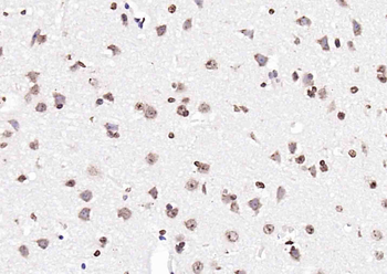
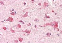
using Prostaglandin E synthase 2 antibody (1 ug/ml)

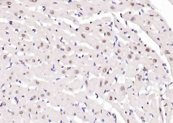
Immunohistochemical staining of rat uterus tissue using anti-Prostaglandin E synthase 2 (2.5 ug/ml)

Immunohistochemical staining of paraffin embedded rat uterus tissue using Prostaglandin E synthase 2 antibody (2.5 ug/ml)

Immunohistochemical staining of rat skin tissue using anti-Prostaglandin E synthase 2 (2.5 ug/ml)

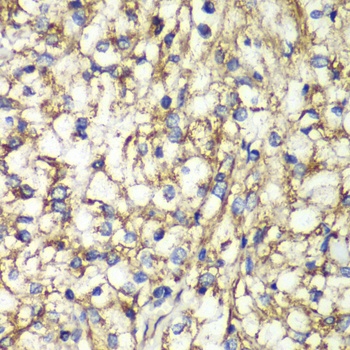
IHC-P staining of rat thymus tissue using anti-Prostaglandin E synthase 2 (2.5 ug/ml)

IHC-P image of rat skin tissue using Prostaglandin E synthase 2 antibody (2.5 ug/ml)

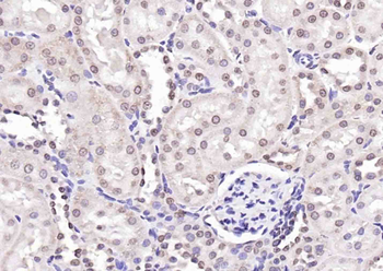
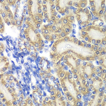
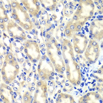
IHC-P image of rat kidney tissue using Prostaglandin E synthase 2 antibody (2.5 ug/ml)

using Prostaglandin E synthase 2 antibody (1 ug/ml)

IHC-P image of rat thymus tissue using anti-Prostaglandin E synthase 2 (2.5 ug/ml)

IHC-P staining of rat kidney tissue using anti-Prostaglandin E synthase 2 (2.5 ug/ml)

Immunohistochemical staining of rat kidney tissue using Prostaglandin E synthase 2 antibody (2.5 ug/ml)

using Prostaglandin E synthase 2 antibody (1 ug/ml)
Quick Database Links
Documents Download
Request a Document
Protocol Information
Prostaglandin E synthase 2 antibody (orb6819)
Participating in our Biorbyt product reviews program enables you to support fellow scientists by sharing your firsthand experience with our products.
Login to Submit a Review
























