You have no items in your shopping cart.
PSMA4 Antibody
Description
Research Area
Images & Validation
−| Tested Applications | ELISA, IF, IHC |
|---|---|
| Dilution Range | IHC-P:1:20-200, IF:1:50-200 |
| Reactivity | Human |
Key Properties
−| Host | Rabbit |
|---|---|
| Clonality | Polyclonal |
| Isotype | IgG |
| Immunogen | Recombinant Human Proteasome subunit alpha type-4 protein (148-184AA) |
| Target | PSMA4 |
| Purification | >95%, Protein G purified |
| Conjugation | Unconjugated |
Storage & Handling
−| Storage | Maintain refrigerated at 2-8°C for up to 2 weeks. For long term storage store at -20°C in small aliquots to prevent freeze-thaw cycles. |
|---|---|
| Form/Appearance | Liquid |
| Buffer/Preservatives | Preservative: 0.03% Proclin 300. Constituents: 50% Glycerol |
| Expiration Date | 12 months from date of receipt. |
| Disclaimer | For research use only |
Alternative Names
−Similar Products
−PSMA4 Antibody [orb1335423]
IHC, WB
Canine, Human, Monkey, Mouse, Rat
Mouse
Monoclonal
Unconjugated
100 μgPSMA4 Rabbit Polyclonal Antibody [orb158219]
IF, IHC-Fr, IHC-P, WB
Equine, Human, Monkey, Porcine
Mouse, Rat
Rabbit
Polyclonal
Unconjugated
50 μl, 100 μl, 200 μl

Quality Guarantee
Explore bioreagents carefree to elevate your research. All our products are rigorously tested for performance. If a product does not perform as described on its datasheet, our scientific support team will provide expert troubleshooting, a prompt replacement, or a refund. For full details, please see our Terms & Conditions and Buying Guide. Contact us at support@biorbyt.com.

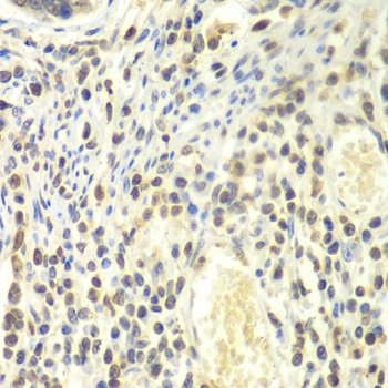
Immunohistochemical staining of human pancreatic cancer using PSMA4 antibody

Immunofluorescence analysis of A549 cells using PSMA4 antibody
Quick Database Links
UniProt Details
−Documents Download
Request a Document
Protocol Information
PSMA4 Antibody (orb50970)
Participating in our Biorbyt product reviews program enables you to support fellow scientists by sharing your firsthand experience with our products.
Login to Submit a Review







