You have no items in your shopping cart.
PSMD14 Antibody
Description
Research Area
Images & Validation
−| Tested Applications | ELISA, IF, IHC, WB |
|---|---|
| Dilution Range | WB: 1: 1000-1: 5000, IHC-P: 1: 20-1: 200, IF: 1: 50-1: 200 |
| Reactivity | Human, Rat |
Key Properties
−| Host | Rabbit |
|---|---|
| Clonality | Polyclonal |
| Isotype | IgG |
| Immunogen | Peptide sequence from Human 26S proteasome non-ATPase regulatory subunit 14 protein (264-283AA) |
| Target | PSMD14 |
| Purification | Antigen Affinity Purified |
| Conjugation | Unconjugated |
Storage & Handling
−| Storage | Maintain refrigerated at 2-8°C for up to 2 weeks. For long term storage store at -20°C in small aliquots to prevent freeze-thaw cycles. |
|---|---|
| Form/Appearance | Liquid |
| Buffer/Preservatives | Preservative: 0.03% Proclin 300. Constituents: 50% Glycerol |
| Expiration Date | 12 months from date of receipt. |
| Disclaimer | For research use only |
Alternative Names
−Similar Products
−POH1/PSMD14 Rabbit Polyclonal Antibody [orb1728099]
ELISA, FC, ICC, IF, IHC, IP, WB
Human, Mouse, Rat
Rabbit
Polyclonal
Unconjugated
100 μgPSMD14 Rabbit Polyclonal Antibody [orb312510]
IF, IHC-Fr, IHC-P, WB
Bovine, Equine, Gallus, Porcine, Rabbit, Sheep, Zebrafish
Human, Mouse, Rat
Rabbit
Polyclonal
Unconjugated
50 μl, 100 μl, 200 μlPSMD14 Rabbit Polyclonal Antibody [orb574213]
IHC, WB
Bovine, Canine, Equine, Guinea pig, Rabbit, Rat, Zebrafish
Human, Mouse
Rabbit
Polyclonal
Unconjugated
100 μl

Quality Guarantee
Explore bioreagents carefree to elevate your research. All our products are rigorously tested for performance. If a product does not perform as described on its datasheet, our scientific support team will provide expert troubleshooting, a prompt replacement, or a refund. For full details, please see our Terms & Conditions and Buying Guide. Contact us at support@biorbyt.com.

Immunofluorescence analysis of PC-3 cells using PSMD14 antibody

Western blot analysis of K562 whole cell lysate, Hela whole cell lysate, Jurkat whole cell lysate, HepG2 whole cell lysate, MCF-7 whole cell lysate, A549 whole cell lysate, 293T whole cell lysate, Rat liver tissue using PSMD14 antibody

Immunohistochemical staining of human heart tissue using PSMD14 antibody

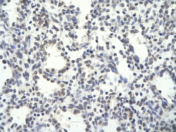
Immunohistochemical staining of human colon cancer using PSMD14 antibody
Quick Database Links
UniProt Details
−Documents Download
Request a Document
Protocol Information
PSMD14 Antibody (orb685733)
Participating in our Biorbyt product reviews program enables you to support fellow scientists by sharing your firsthand experience with our products.
Login to Submit a Review


























